“医生,我这报告上写的‘脑白质脱髓鞘’是啥病?是不是脑子出大问题了?”
在神经内科门诊,这是医生最常被问到的问题之一。很多人做完头颅核磁共振(MRI)或CT,看到报告单上这个陌生的医学术语,瞬间就慌了神,甚至联想到 “老年痴呆”“脑萎缩” 等严重疾病。但其实,“脑白质脱髓鞘” 不是一个具体疾病名,只是影像检查的一种 “信号描述” ,绝大多数情况根本不用怕。
先搞懂:髓鞘到底是个啥?
我们可以把大脑里的神经纤维(轴突)想象成家里的 “电线”,而髓鞘就是包裹在电线外面的绝缘胶皮—— 它的核心作用是保护神经纤维,同时让神经信号(就像电流)快速、准确地传导。
大脑里的神经纤维密集区域,因为髓鞘富含脂质,颜色偏白,被称为 “脑白质”;而神经细胞胞体集中的区域颜色偏灰,就是 “脑灰质”。影像报告里的 “脑白质脱髓鞘”,本质上是 MRI或CT机器捕捉到:某些脑白质区域的 “绝缘胶皮” 看起来不那么完整了,呈现出异常的信号。
但这里要划重点:看到 “高亮信号”≠ 一定是病理性损伤,就像电线的绝缘皮用久了可能出现轻微磨损,不一定会影响通电 —— 脑白质的 “脱髓鞘样改变”,很多时候只是身体的 “正常老化痕迹”。
两种情况:90% 的人属于第一种,完全不用治
影像报告里的 “脑白质脱髓鞘”,主要分两种情况,结局天差地别:
情况一:散在、点状、小片状的 “轻微改变”(最常见)
这是临床上占比 90% 以上的良性情况,就像脸上长了几根白头发、眼角出现细纹一样,是岁月带来的正常变化。常见人群:中老年人(50 岁以上尤为普遍),也可见于长期熬夜、压力大、有高血压等血管危险因素的中年人。背后原因:随着年龄增长,脑部微小血管的供血能力会自然下降,导致部分脑白质出现轻微缺血、代谢改变,进而表现为 “脱髓鞘样信号”。
处理方式:通常不需要特殊治疗!定期体检观察即可。如果有高血压、高血脂等基础病,好好控制原发病,减少血管损伤。
情况二:多发、特殊形态或大片状的 “明显病灶”(极少数)
这种情况才需要警惕,属于病理性脱髓鞘,通常是某些疾病的 “信号”:
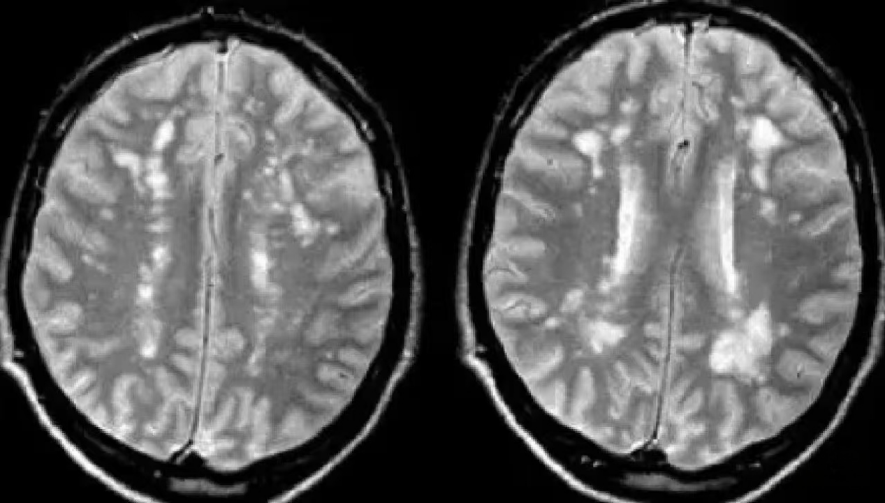
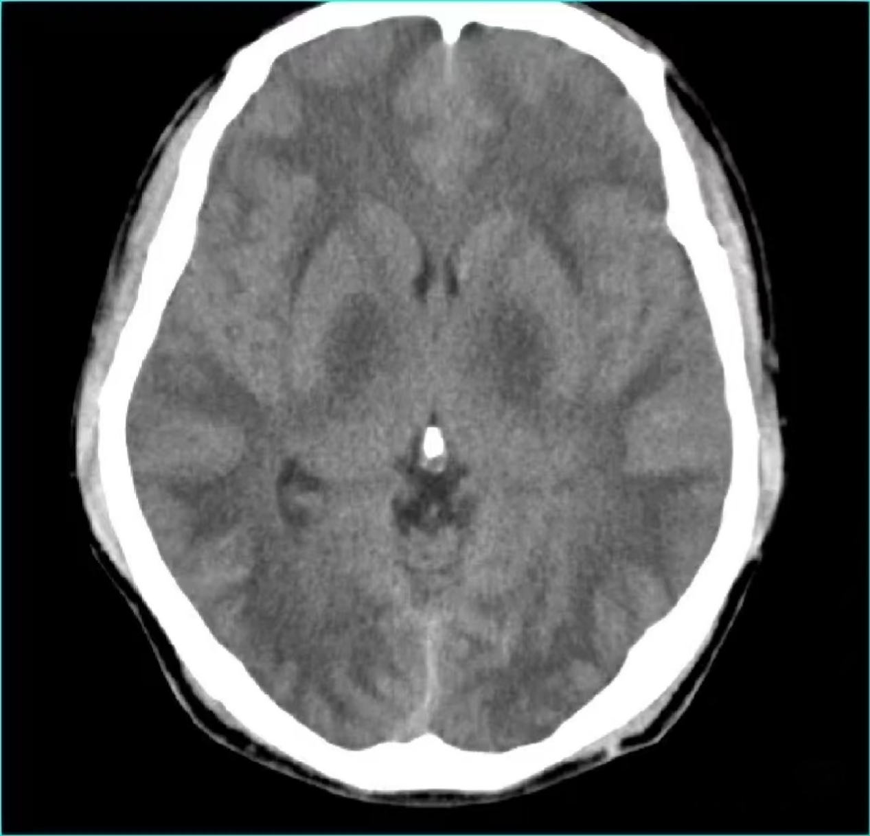
典型表现:病灶数量多、呈椭圆形,且垂直于大脑侧脑室分布(图1),或出现大片融合的异常信号(图2)。
常见疾病:中枢神经系统炎性脱髓鞘疾病,比如多发性硬化、视神经脊髓炎谱系疾病(NMOSD)、急性播散性脑脊髓炎(ADEM)等,也可见于脑白质营养不良等先天疾病。这类情况相对少见,且一定会伴随症状!比如肢体无力、麻木、视力突然下降、走路不稳、说话含糊、大小便障碍等。
处理方式:必须及时到神经内科就诊,通过进一步检查(如腰椎穿刺、诱发电位、血液抗体检测等)明确诊断,再进行针对性治疗,避免神经功能持续受损。
最后总结:别再为 “脑白质脱髓鞘” 恐慌了!它就像一个 “影像提示”,不是疾病本身。
拿到报告要结合自身临床表现,不确定就找神经内科医生解读,科学看待,才能避免不必要的焦虑呀!

图1

图2

北京清华长庚医院APP
快速挂号