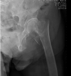
北京清华长庚医院肾内科(吕佳璇)北京清华长庚医院血透室的齐老,80岁,透析了11年,4个月前因急性胰腺炎和急性心肌梗塞刚出院,有继发性甲状旁腺功能亢进和肾性骨病。2周前在家不小心摔倒,疼痛难忍,不能动弹,被救护车送至他院,查体左下肢较对侧短缩2cm,髋关节压痛明显,强迫体位,X片诊断左股骨粗隆骨折,因年龄大、合并症多、心梗不超过6月,建议不适合手术,回家行保守治疗。

肾内科李月红主任了解病情后,指出如果不做手术,齐老难以维持每周3次的门诊透析,卧床不起、疼痛、感染和血栓,生活质量会严重受影响,生命不过半年。但这样一位尿毒症、透析、刚心梗过的超高龄骨折患者,手术风险尤其高,哪个骨科大夫肯接收呢?李月红主任联系了经验丰富、技艺精湛的北京清华长庚医院骨科副主任潘勇卫教授。
潘勇卫教授了解病情后马上安排齐老住院,联系心内科和麻醉科联合会诊,共同评估患者病情,研究手术方案,决定行股骨粗隆下骨折髓内针内固定术。透析室调整透析方案,手术前后给以枸橼酸透析保驾,手术仅用了一个小时,避免了手术并发症,齐老很快就下床活动了。


李月红主任带领的清华长庚血透团队,悉心管理每一个血透患者,时时刻刻为他们着想,被称为“血透室的大家长”。骨科潘勇卫教授不拒危重患者,精湛的医术,高尚的医德赢得了患者的信任!健康所系、性命相托,北京清华长庚医院自成立以来,各科室优秀的团队紧密配合,抢救了一个个被他院拒收的危重患者,以超高速的发展,为患者保驾护航。



北京清华长庚医院APP
快速挂号