清华长庚血管外科 9月8日(通讯员 赵克强 吴巍巍)王先生今年50岁,头晕、黑矇反复发作,1周前超声发现左侧颈动脉狭窄,赶紧就诊于清华长庚医院,颈动脉CTA发现王先生的左侧颈内动脉起始端粥样硬化斑块形成、重度狭窄,病变位置很高,更复杂的是还同时合并颈总动脉起始部狭窄(图1、2)。入院后血管外科医生为王先生进行了全面的颈动脉斑块性质评估:超声造影检查发现斑块内线样增强提示斑块内新生血管;斑块MRI分析均提示斑块内出血。上述评估均提示该斑块可能为不稳定斑块,极易脱落导致脑梗死,头颅核磁也证实了左侧颈动脉供血区域大脑半球多发腔隙性梗塞。结合王先生的症状、狭窄程度以及斑块不稳定性质,进行斑块剥离手术或微创支架手术的指证明确,由于CTA提示颈动脉狭窄病变很高,剥离手术风险高,我们决定为王先生施行微创手术。
术前CTA提示王先生的主动脉弓形为“牛”型解剖变异(左侧颈总动脉从无名动脉发出,图1),颈总动脉起始部及颈内动脉均存在斑块狭窄,为手术增加了难度,经过仔细讨论分析病情,血管外科吴巍巍主任、赵克强教授决定“另辟蹊径”,从患者右上肢入路,实施微创颈动脉支架手术,同期解决颈总及颈内动脉两处病变。经过充分的术前准备,吴巍巍主任和赵克强教授在麻醉科医师的保驾下联手为王先生安全实施颈动脉微创支架植入术(图3、4),避免了王先生今后再次发生严重的脑卒中事件。术后返回病房,精准调控血压、心率,5天后王先生顺利康复出院。

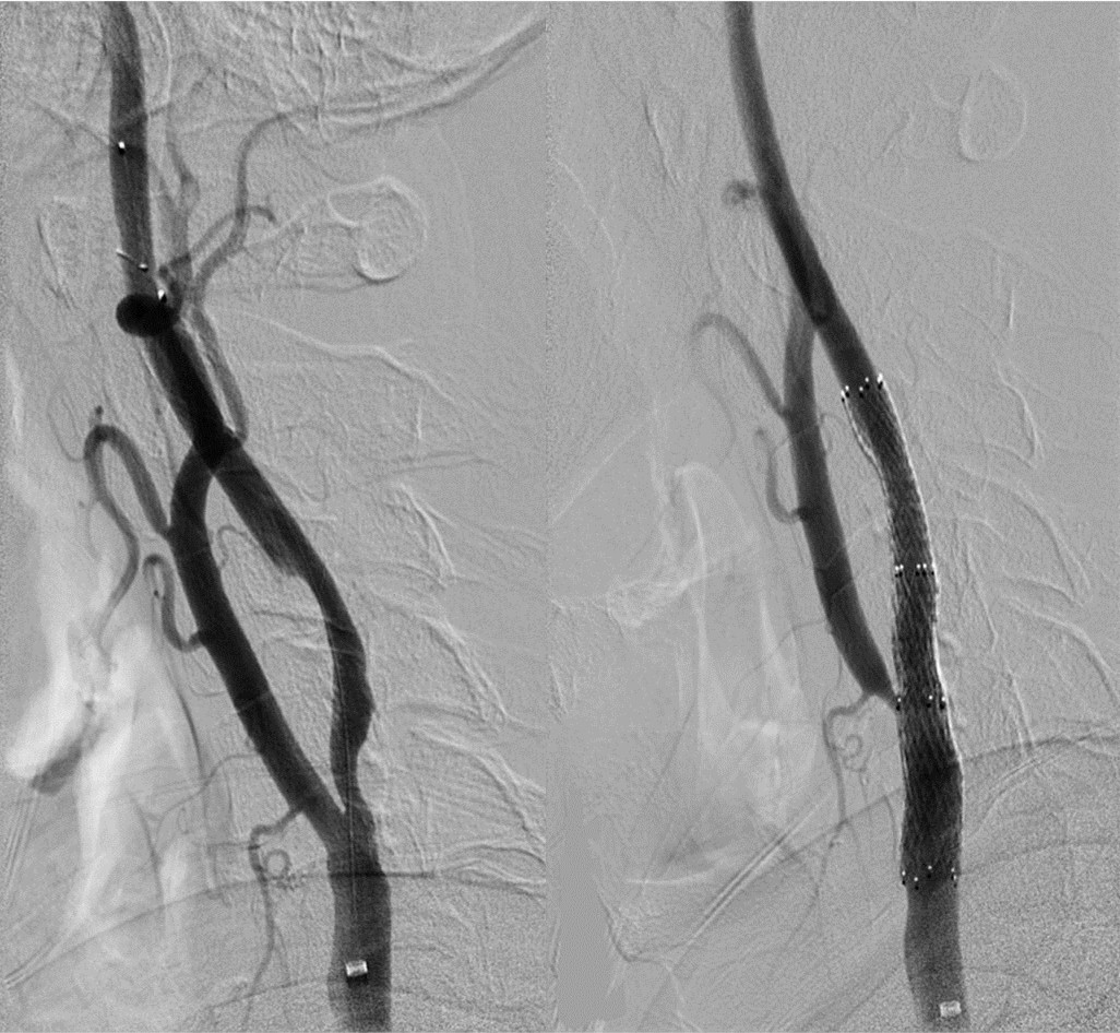
图1 颈动脉狭窄病变很高合并颈总动脉狭窄合并牛型弓
术中情况

图2-1 经右上肢造影并建立入路

图2-2 评估颅内情况

图2-3 颈内-颈总动脉植入支架

图2-4 颈总起始植入支架
什么是颈动脉狭窄
颈动脉壁分为内膜、中膜和外膜三层,超声下内中膜厚度(IMT)一般小于1mm,超过1.3mm就判断为颈动脉斑块,形成颈动脉斑块最主要的病理机制是动脉粥样硬化。
据统计,美国40岁以上人群超声筛查62%存在颈动脉斑块,我国的超声筛查结果也显示中老年人颈动脉斑块的检出率达到60.3%。因此发现颈动脉内中膜增厚或斑块,管腔未狭窄时不用过分担心。但是,颈动脉内中膜增厚或斑块往往提示人体全身动脉硬化的状况,需要加以重视,定期复查。

颈动脉狭窄引起脑卒中的表现
颈动脉狭窄超过50%后可能伴发斑块脱落,常见的临床症状包括短暂性脑缺血发作(TIA),即“小卒中”:突然发生头昏目眩,一侧眼晴暂时性发黑,胳膊、腿发麻无力,言语不清,一侧肢体无力,持物不稳,口角歪斜等,常于24小时内恢复。这些表现是由于颈动脉粥样硬化斑块脱落,导致颅内小动脉栓塞所造成的,也是重要的“预警”信号,如果继续发生较大斑块脱落,造成相对粗大的颅内动脉栓塞,可导致急性脑梗塞,便会引起永久性的偏瘫、偏身感觉、偏盲及语言功能的障碍等。另外,还可能因为颈动脉狭窄而导致的脑供血不足,而造成慢性脑损害症状,可引起智力和认知能力等高级智能活动的受损。
颈动脉狭窄的影像检查手段
颈动脉彩超检查能够做出初步判断,但其受检查技师操作经验及主观判断影响大。为了进一步指导手术治疗,还需要明确颈动脉狭窄部位、长度以及程度、斑块成分等详细信息。颈动脉血管造影(DSA)能准确检查出动脉狭窄的程度和范围,是诊断头颈部动脉病变的金标准。近年来,应用超声造影、CT血管增强(CTA)以及磁共振斑块分析(MRI)等技术,同样可以得到全面的斑块信息,通过三维建模从不同的角度显示血管结构,良好地识别不稳定斑块。
术前斑块的影像学评估

图4 超声造影:斑块内可见微泡强化,提示新生血管

图5 斑块MRI分析 提示斑块内出血
颈动脉狭窄的规范化治疗
和水垢未堵塞管道类似,斑块未引起颈动脉狭窄,没有必要大修管道。首要治疗措施是延缓斑块生长,防治引发颈动脉斑块的危险因素,控制血压、血糖和血脂;避免高盐高脂饮食,吸烟的人要戒烟,养成良好的生活习惯,保证睡眠质量,加强运动,定期体检。部分患者合并危险因素较多,需服用抗血小板药物。如果调整生活方式后血脂仍高,也建议使用降脂药物。目前还没有一种药物能够确切消除颈动脉斑块,但调整生活方式,控制危险因素,可以延缓斑块的生长。斑块生长较为缓慢,早期无需复查太勤,每年复查颈动脉超声即可。
当斑块增大,引起重度颈动脉狭窄(狭窄程度>70%)或有“预警”信号的有症状颈动脉狭窄(狭窄程度>50%)就需要进行手术治疗。
颈动脉内膜剥脱术是治疗颈动脉狭窄的金标准。大量的临床研究已经充分证明了颈动脉内膜剥脱手术剥除斑块预防脑卒中的安全性、重要价值和有效性。一位有经验的血管外科医师可以娴熟的完成该手术,术中适当的应用转流管以及补片增加了手术的安全性,提高了疗效。
近年来,随着微创治疗技术的进步,尤其是脑保护装置的应用,颈动脉球囊扩张支架植入术在颈动脉狭窄治疗上的应用日益增多。而且,该技术的优势明显:创伤小,恢复快,住院时间大为缩短,特别是伴有心肺血管疾病的高龄患者可以优先考虑该治疗措施,可以减少心肌梗死的发生。
北京清华长庚医院血管外科是国内为数不多能够同时开展颈动脉内膜剥脱术和颈动脉球囊扩张支架植入术的单位之一,依托清华大学雄厚实力,所有患者术前进行全面的斑块稳定性评估,可以根据患者病变特点、斑块性质以及伴随疾病等多方面因素,针对性选择最合适的手术方案。
颈动脉狭窄术后应该注意什么以及如何复查?
颈动脉狭窄手术术后管理也非常重要,应该控制血压在合理区间,避免过高过度灌注或过低灌注不足,需要有经验的血管外科医护团队密切照护。为预防颈动脉再狭窄,建议患者术后遵医嘱服用抗血小板药物及降脂药物。
建议颈动脉狭窄术后1、3、6月、1年,此后每年,前往手术医师门诊复诊,复查颈动脉超声、颅脑MRI等相关检查。

北京清华长庚医院血管外科正式组建于2014年,血管外科是清华长庚医院的重点科室。科室拥有先进的西门子Artis Zee数字化平板血管造影机2台,美国通用Innova4100数字化平板血管造影机1台,装备现代化复合手术室1间,装备现代化的血管超声,满足术前检查和术中监测的需求;配备了最新型号的无创数字化血管检查工作站,可以快速准确的进行周围血管疾病的检查,了解血管健康状况。
血管外科由原北京协和医院血管外科吴巍巍教授领衔,吴巍巍主任还兼任中国医疗保健国际交流促进会血管外科分会颈动脉学组副组长、静脉曲张学组副组长、北京医师协会血管外科青委会主任委员,擅长处理各种疑难血管疾病。科室现有医师分别来自北京协和医院、北京大学人民医院血管外科、血管疾病诊治经验丰富;同时擅长现代微创介入手术和经典传统开放手术,为患者选择最适合病情的治疗方案是血管外科的一大特色。
血管外科目前开展主动脉、头颈部血管、内脏血管、四肢血管等多部位血管疾病的开放手术和微创介入治疗,头颈部血管中心,重点关注颈动脉、椎动脉、锁骨下动脉狭窄闭塞疾病等,预防脑梗塞。主要负责人为赵克强医师,北京大学医学博士,副主任医师。2008年获得北京大学医学部心胸血管外科专业博士学位。同年就职于陆军总医院血管外科,2009年获得主治医师资格,任血管外科医疗组长。2014年调入清华长庚医院血管外科担任Attending医师和科室教学负责人,获得2017年度优秀带教老师称号,同时兼任北京医学会血管外科分会青年委员、国际血管联盟中国分会弓上动脉专委会委员。

吴巍巍主任和赵克强医师从事颈动脉狭窄治疗临床与科研工作多年,积累了丰富的颈动脉狭窄内膜剥脱和微创支架治疗的经验。开业四年来,北京清华长庚医院血管外科头颈部血管中心连续开展百余例颈动脉内膜剥脱手术及颈动脉支架手术,为不同的患者选择了最适于病变的方案;围术期并发症发生率低于2%,获得患者好评。清华长庚医院开展围绕疾病为中心的治疗模式,由血管外科联合兄弟科室共同开展颈动脉狭窄多学科治疗模式,如术前放射科、超声科精准斑块评估,术中神经内科经颅多普勒监测,麻醉科保驾护航,术后心脏内科、重症监护科保障康复,颈动脉狭窄治疗的安全性超过专业指南要求,积累了充分的治疗经验,将更好地为颈动脉狭窄患者提供专业服务。

北京清华长庚医院APP
快速挂号