消化道恶性肿瘤的早期发现是战胜它的关键。除了我们熟知的胃肠镜能直接看到黏膜表面的情况,CT和MRI则像“隐形侦探”,能从外部观察消化道管壁的全层和周围组织器官的变化,在肿瘤诊断和分期中扮演着不可替代的角色。
1. 食管与胃:观察管壁的“厚度”与周围环境
食管癌与胃癌:CT检查能清晰地显示食管壁或胃壁是否异常增厚,管腔是否狭窄。更重要的是,它能评估肿瘤是否突破了管壁,侵犯了周围的脂肪间隙、重要血管,同时可以评估周围淋巴结是否肿大。这就像在手术前进行一次“沙盘推演”,帮助外科医生规划手术路径和范围。例如,晚期胃癌在CT上可能表现为胃壁弥漫性增厚、僵硬,胃腔缩小,形成所谓的“皮革胃”。

图1 胃壁弥漫性异常增厚,胃腔变小,形成所谓的“皮革胃”
2. 结直肠:为手术绘制精细“地图”
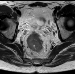
结直肠癌:CT常用于评估有无远处转移(如肝、肺转移)。而对于直肠癌,MRI具有独一无二的价值。它能以极高的软组织分辨率,清晰显示直肠肿瘤侵犯肠壁的深度、是否侵犯了直肠周围的系膜筋膜、以及系膜内有无可疑的淋巴结。这些信息对于判断能否进行保肛手术、是否需要术前放化疗等,提供了最直接的影像学证据。

图2 直肠癌侵犯前方系膜筋膜(箭头处),可以先化疗减瘤后再行手术
3. 肝脏与胰腺:评估肿瘤的“血供”与关系
肝癌、胰腺癌等:CT和MRI增强扫描是核心手段。通过静脉注射造影剂,并在不同时间点(如动脉期、门静脉期)进行扫描,可以观察肿瘤的血供特点。例如,原发性肝癌通常表现为“快进快出”——在动脉期显著强化(变亮),在门静脉期强化迅速减退(变暗)。这有助于与其他肝脏病变(如血管瘤)相鉴别。同时,影像能精确评估肿瘤与重要血管(如肝门静脉、下腔静脉、肠系膜血管)的关系,判断手术切除的可行性。

图3 CT增强扫描动脉期肝内病灶可见肿瘤血管(箭头处),动态增强扫描呈“快进快出”样强化
给您的检查小贴士: 消化道CT检查前,通常需要喝一些水来充盈胃肠道,以便更好地区分肠管和病变,请按照医生指导进行。增强扫描用的静脉造影剂,少数人可能出现过敏反应或肾脏影响,检查前需告知医生您的过敏史和肾功能情况。影像学检查是综合诊断的一部分,同时饮水对于增强CT检查也起到了造影剂水化,帮助人体代谢造影剂的作用;而疾病最终确诊往往需要胃肠镜活检的病理结果。

北京清华长庚医院APP
快速挂号