作为放射科医生,我经常在检查室遇到女性患者带着这样的疑问:“医生,我体内有节育环,能做磁共振(MRI)检查吗?会不会有危险?” 这确实是一个非常重要且普遍的问题。今天,我就从放射科的专业角度,为大家详细科普一下。
一、核心结论:并非绝对禁忌,关键看材质和部位
首先,请大家放心,体内有节育环(医学上称为宫内节育器,IUD)并非绝对不能进行MRI检查。能否安全、有效地进行检查,主要取决于两个关键因素:节育器的材质和您需要检查的身体部位。
二、潜在风险:为什么医生会谨慎
医生对此保持谨慎,主要是基于以下三点考虑:
1. 安全风险(较小但需警惕):对于含有铁磁性材料(如某些老式不锈钢环)的节育器,强大的MRI磁场有可能导致其发生移位、扭转或产热,理论上存在造成组织损伤或出血的风险。不过,根据目前的临床研究和共识,在3.0T及以下场强的MRI设备中,尚未发现节育器引起明显不良反应的报告,其位置通常比较固定,发生移动的概率较低。
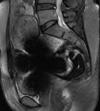
2. 图像质量影响(最常见):这是更实际的问题。节育器中的金属(即使是铜等非铁磁性金属)会在MRI图像上产生金属伪影,表现为图像局部扭曲、变形或出现大片黑影。如果检查部位正好是盆腔、子宫或附件,这些伪影会严重干扰医生观察病灶,可能导致“白做一次检查”,既耽误时间又影响诊断。
3. 检查效果打折:如果图像因伪影不清晰,就无法为临床医生提供准确的诊断依据,失去了检查的意义。


图1 部分子宫节育器在MRI上的伪影对结构无法评估
三、关键决策:您的节育器是什么材质?
节育器种类繁多,材质各异,我们可以将其大致分为几类:
1.安全型(通常可做MRI):
(1)非金属材质:如曼月乐(左炔诺孕酮宫内节育系统),其主体是塑料支架,不含金属,进行任何部位的MRI检查均不受影响。
(2)非铁磁性金属材质:现代多数节育器属于此类。例如吉妮环、爱母环(第三代)以及多数含铜节育器(T形环、宫铜环等)。它们通常采用没有磁性或磁性极弱的材料,在MRI磁场中不会移位或产热,安全性较高。但需注意,做盆腔检查时仍可能产生伪影,此时如果怀疑子宫、直肠等病变时,强烈建议先取出再检查。
2.需谨慎/禁忌型(做盆腔MRI前建议取出):
含铁磁性材料的节育器:主要是含有不锈钢材质的老式节育器,如部分元宫环、安舒环以及已停产的第一代不锈钢圆形环。这类节育器具有磁性,是盆腔MRI检查的相对禁忌。如果检查部位远离盆腔,且环已放置半年以上位置稳定,风险较低;但若检查盆腔,强烈建议先取出再检查。
四、给您的行动指南
如果您需要做MRI检查,可以遵循以下步骤:
第一步:确认信息。尽可能弄清楚您体内节育器的具体类型和材质。可以查看当年的病历、节育器说明书或咨询为您放置节育器的妇科医生。
第二步:主动告知。在预约和进行MRI检查前,务必主动告知放射科医生和技师您体内有节育器,并说明您所知的材质类型和需要检查的部位。
第三步:专业评估。放射科医生会结合您的节育器信息和检查部位进行专业风险评估:
(1)如果节育器材质安全,且检查部位远离盆腔(如头颅、四肢),通常可以直接检查。
(2)如果要做盆腔MRI,建议您先到妇科取出节育器后再行检查,以确保图像质量和诊断准确性。
第四步:检查后观察。极少数敏感人群在扫描时可能会感到下腹轻微发热或牵拉感,这通常无需担心。检查后注意观察1-2天,如果出现剧烈腹痛、异常出血等情况,应及时就医。

北京清华长庚医院APP
快速挂号