北京清华长庚医院2月12日电(通讯员 张琳 黄鑫)近日,9岁的小童(化名)第三次来到北京清华长庚医院,做肝癌钇90微球介入治疗3个月后的复查,终于得到了一个欣慰的消息——肝内病灶得到显著控制,原肝内多发病灶多数已消失不见,剩余病灶影像学表现也基本没有活性,肿瘤标志物之一甲胎蛋白明显下降,AFP由术前27540下降至2880ng/mL。

钇90微球治疗术前及术后甲胎蛋白水平动态变化
去年5月,小童(化名)因运动后腹痛,到医院就诊,发现肝脏占位,后被诊断为肝细胞癌,且肿瘤已出现肝内播散,门静脉左支癌栓。随后,患儿辗转多家医院,接受化疗、靶向等治疗,但肝脏肿瘤仍在发展,且出现药物耐药。7月,小童第一次到北京清华长庚医院寻求救治帮助。
经肝胆肿瘤MDT讨论,认为虽然患儿肿瘤巨大且合并血管侵犯,考虑肿瘤以左肝外生为主,右肝未发现明确肿瘤,但因其门静脉瘤栓,手术切除复发风险较高,前期尝试常规化疗、靶向等转化治疗手段无效;由于外生肿瘤巨大,血供复杂,肿瘤内部存在动静脉分流可能,且可能存在较高的肺分流,钇90微球一旦分流到肝外器官,会造成放射性损伤;肿瘤外生明显、生长速度快,且存在随时破裂出血风险,严重威胁患儿生命,最后MDT一致意见,决定先行手术切除巨大肿瘤及癌栓。患儿术后康复顺利,继续在当地医院巩固性综合治疗,不幸的是,后期小童余肝内出现多处肿瘤复发。

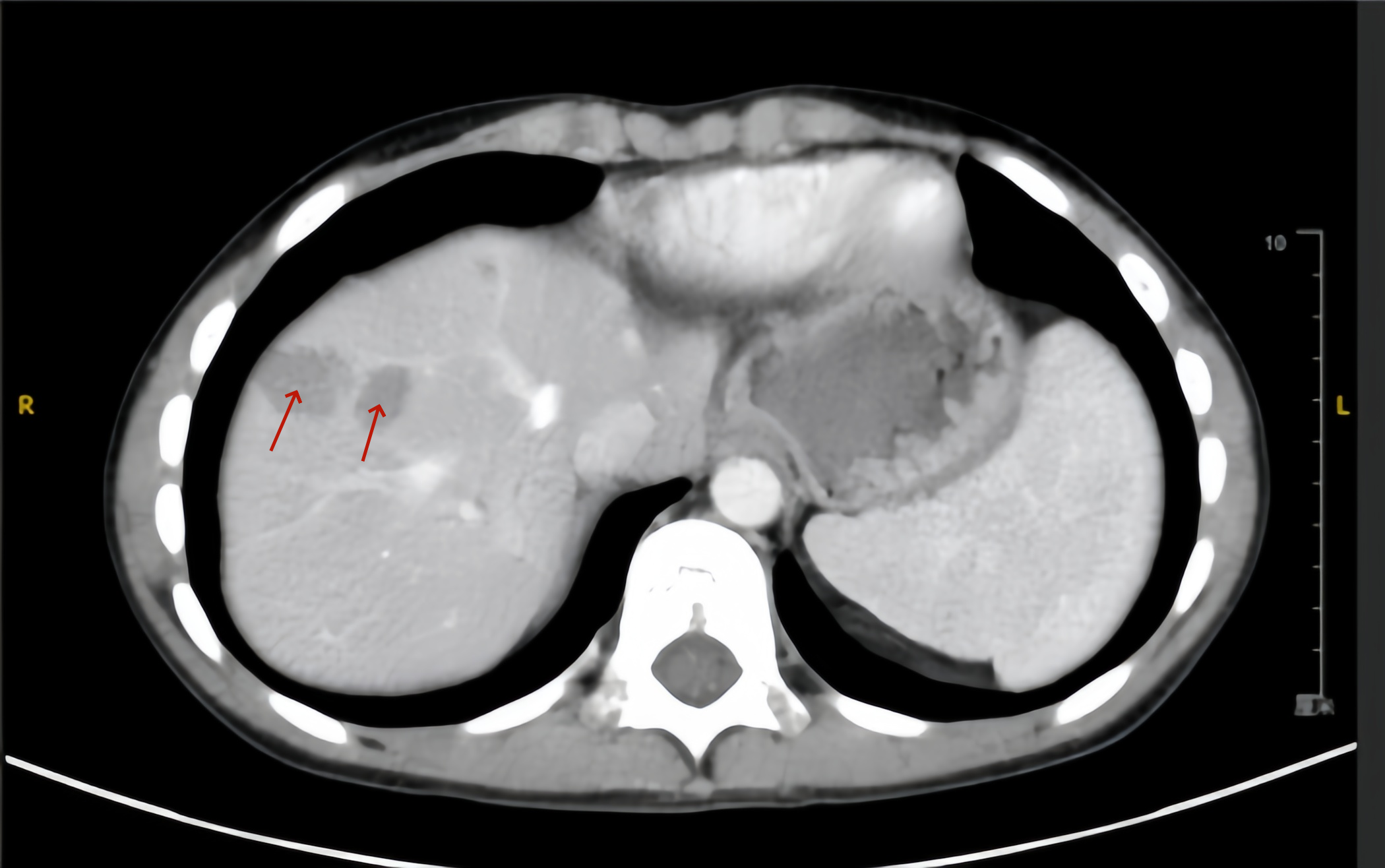
图为小童钇90术前的肝脏影像,箭头处为两处较大的肿瘤
小童再次来到北京清华长庚医院,经肝胆肿瘤MDT讨论后,建议评估行钇90微球介入治疗的可行性。钇90治疗团队经过详细的准备,联合肝胆胰外科、肝胆介入科、核医学科、儿外科和放射科等多学科讨论,最终确定余肝内多发肿瘤可安全进行钇90微球介入治疗,并对肿瘤吸收剂量、肝脏剂量、处方活度进行充分计算。经过周密的术前准备,于2024年10月成功完成钇90微球介入手术,术后即刻PET/CT评估显示肝内多发病灶微球覆盖良好,周围正常组织无明显微球分布,术后患儿无明显不适,复查肝功能无明显异常,第2天即出院。
钇90微球介入治疗的应用,为该患儿的病情控制带来了关键性转机。通过将钇90微球精准注入肝脏肿瘤的供血动脉,局部释放高剂量β射线,杀灭肿瘤细胞,并通过精准定位,做好周围正常肝组织的保护。
小童是北京清华长庚医院开展钇90微球介入治疗两年多来,治疗的300余例患者中年龄最小者,也是在董家鸿院士的引领下,钇90治疗团队在规范开展钇90技术的基础上,不断开拓创新,首次尝试钇90微球技术在儿童肝癌领域应用。

北京清华长庚医院APP
快速挂号