北京清华长庚医院11月5日电(神经外科 张培海)刘爷爷是1924年生人,今年95岁高龄。抗战时期他是一名英勇的空军战士,抗日战争胜利后刘爷爷因腿部负伤退役。复员后,刘爷爷成为了一名产业工人,踏踏实实、勤勤恳恳地工作了一辈子,在抗战胜利70周年之际,国家为他颁发了抗日战争胜利70周年纪念章。

图1刘爷爷的抗日战争胜利70周年纪念章
刘爷爷的身体一向硬朗,日常生活基本能够自理,但是20多天前,他开始出现精神萎靡,爱睡觉,大小便失禁的情况,最近更是出现严重的头疼、呕吐,孩子们赶紧把他送到我院急诊神经科,头部CT检查才发现刘爷爷脑室内大量出血,导致脑积水、颅内高压,必须立即手术治疗。

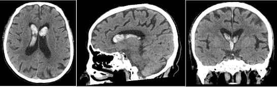
图2 头颅CT提示脑室系统内积血、脑室扩张
考虑到病人已经95岁高龄,手术风险极高,我院神经外科王劲副院长、王贵怀主任、孙振兴医师等紧急进行了病例讨论,考虑到保守治疗血肿吸收困难,颅内高压不能有效缓解,建议局麻下进行钻孔脑室穿刺外引流术。经过与家属充分沟通交流,展开手术。注射局麻药物,切开头皮,暴露颅骨、钻孔,脑室穿刺置管,麻醉师全程监控生命体征,静脉补液、辅助镇痛药物,整场手术得到了刘爷爷的积极配合,半个多小时后手术顺利结束。
高龄、卧床患者的护理一直是临床工作中最有挑战性的环节之一,赵雪莲护士长精心安排病房护理骨干轮流值班,严密看护刘爷爷的病情变化,照顾患者的饮食起居。脑室外引流过度的话,会导致颅压过低、硬膜下积液及出血等并发症,如果引流过少的话又起不到作用。为了达到最好的治疗效果,每班的主管护士每隔1-2个小时就要查看刘爷爷的引流情况,严密观察引流的形状、总量等,按需及时调整引流管高度。经过医护人员2周的精心护理和治疗,刘爷爷脑室内的出血全部排除干净,顺利康复出院。

图3 头颅CT提示脑室内出血全部排出
出院那天刘爷爷神采奕奕,穿戴整齐,他胸前抗日战争胜利70周年的勋章格外醒目。神经外科医护人员纷纷和刘爷爷合影留念,记录下了这美好的时刻。北京清华长庚医院神经外科在王劲副院长、王贵怀主任的带领下勇于攀登医学高峰,敢于挑战疑难复杂危重疾患,病人覆盖国内、非洲、加拿大及东南亚地区,今后,神经外科将继续秉持“以病人为中心”的理念,造福更多病患。

图4 刘爷爷和神经外科医师合影留念

北京清华长庚医院APP
快速挂号