北京清华长庚医院4月1日电(通讯员 张培海)北京正值乍暖还寒,春寒料峭之际,此时是每年脑血管疾病的高发时期,据统计超过70%的脑出血患者在秋冬和冬春交替时发病,2020年3月30号我院神经外科不到24小时就接诊了4例需要急诊手术的脑血管病患者。下面通过这几个病例,科普一下脑血管疾病的发病和临床救治经过,分享健康保健知识。
--------------------------------------------------
67岁的刘先生,5小时前出现意识障碍伴右侧肢体无力,家属联系救护车送至我院急诊,转运期间,患者出现意识逐渐下降至深昏迷,呼之不应,脑血管CT成像提示“脑出血,脑血管畸形,可疑左侧大脑前动脉动脉瘤”。患者手术风险极大,但已经出现脑疝,生命危在旦夕,刻不容缓,遂紧急行开颅手术。

图1 术前头颅CT及CTA,脑内血肿伴血管畸形
手术中行显微镜下脑内血肿清除,探查发现患者左侧大脑前动脉瘤破裂,考虑为本次脑出血的致病根源,予手术夹闭,探查发现右侧后交通动脉瘤,同时行手术夹闭,消灭了以后患者此处动脉瘤破裂出血的危险。这种类型的患者病情极其凶险,出血量大,治疗极其困难,若不及时手术治疗,很难存活。

图2 郭毅副主任为患者行显微镜下手术
--------------------------------------------------
68岁的马女士,3小时前突发头痛,伴恶心、呕吐,家属陪伴下就诊于外院,头颅CT提示右顶枕脑出血,转诊至我院后,予患者复查脑血管CT成像检查,排除脑肿瘤和血管畸形等,急诊行开颅血肿清除术,患者术后1天神经功能已基本恢复正常,日常活动无明显影响。这种脑叶出血的患者,若未发生脑疝等严重情况,往往手术效果良好,病情允许情况下,建议积极手术治疗。

图3 患者手术前后头颅CT,血肿清除满意
--------------------------------------------------
36岁的王女士,突发头痛、头晕10小时余,症状持续不缓解,后就诊于我院急诊,行脑血管CT成像,可疑右侧后交通动脉动脉瘤,紧急行全脑血管造影,术中确认为后交通动脉起始段动脉瘤,开颅手术夹闭风险较高,经与家属沟通后行支架辅助弹簧圈动脉瘤栓塞术,手术过程顺利,患者术后1天恢复良好,无明显神经功能障碍,生活基本自理。动脉瘤是颅内的定时炸弹,一旦破裂,患者有生命危险,目前研究显示开颅和介入手术都取得了不错的临床效果,无论哪种办法,具备手术指征的患者应积极治疗。

图4 手术前后脑血管造影,提示动脉瘤栓塞满意
--------------------------------------------------
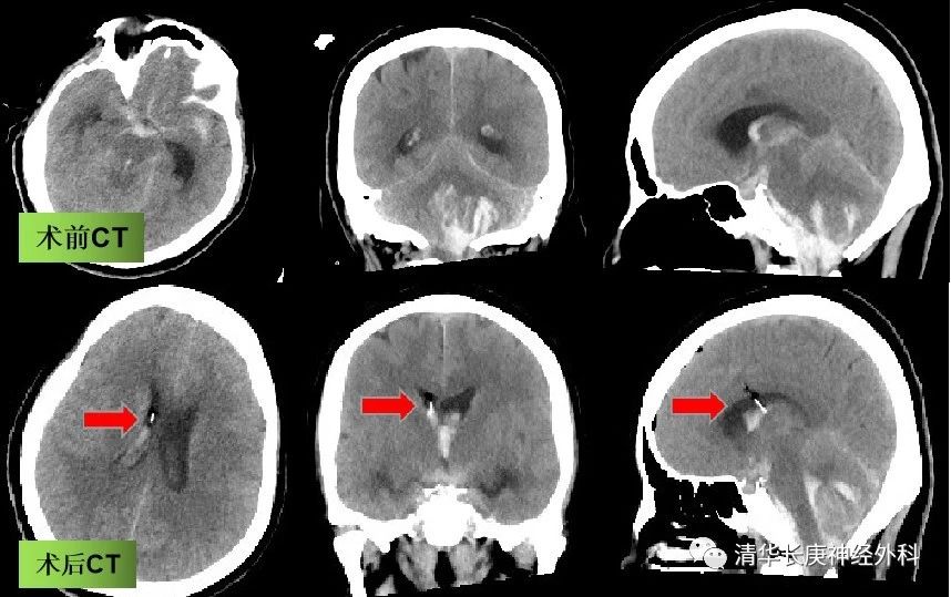
69岁的何女士,4小时前患者突然出现头疼,伴有头晕恶心、呕吐,家人赶紧把她送到医院,头颅CT检查提示“蛛网膜下腔出血”,期间何女士陷入昏迷,呼吸微弱,急诊行气管插管,复查头颅血管CT成像,发现患者又出现了“脑室系统积血、脑积水”,紧急为患者进行了微创脑室穿刺外引流术,术中使用导航引导,确保不损伤功能区脑组织,避开血管,精准到达预定位置,帮助患者排除脑内出血,改善脑积水。患者蛛网膜下腔出血原因尚未明确,先期行脑室及血肿引流,可以减轻症状,待后续病情平稳后再进一步评估,决定后续治疗方案。

图5 三维CT重建,模拟手术穿刺路线

图6 术中导航引导下精准穿刺引流

图7 手术前后CT,箭头示引流管,位置良好
--------------------------------------------------
什么是脑出血?
文章前面提到的寒冷天气是常见诱发因素之一,有研究显示人体在在寒冷气候条件下,容易出现血液粘稠,毛细血管痉挛、脆性增加等,容易出现血压升高,血管破裂。因此,天气冷暖变化,及时增减衣物,千万不要为了风度,扔掉自己的秋裤。另外,情绪激动、过度劳累以及不良的生活习惯,比如酗酒、暴饮暴食、长期便秘及饱食后沐浴等都是脑出血的常见诱发因素。
怎么及时发现患者有脑出血?
患者常突发头痛头晕,恶心伴喷射性呕吐,昏睡,言语不清,严重者出现肢体偏侧瘫痪,甚至有病人直接昏迷、呼吸心跳暂停。通常卧床休息、药物治疗效果不佳,遇到此类情况应及时就诊。另外,头颅CT检查在各大医院已经非常普及,检查迅速,可明确患者颅内情况,是目前脑出血明确诊断的首选检查。对某些特定患者,CT脑血管成像(CTA)可快速明确出血原因。
脑出血治疗手段有哪些?
脑出血造成的颅内血肿可以直接破坏脑组织,对周边脑组织产生机械性损伤,血肿分解产物还会导致继发性脑损害。早期及时清除血肿,不仅可以解除占位效应,还能减轻继发性损害,因此目前的治疗以外科手术为主。常用的手术方法包括开颅清除血肿、神经内镜手术、穿刺引流等,具体手术方式,要根据病人具体情况选择,患者术后需长期的系统康复锻炼。

北京清华长庚医院APP
快速挂号