洪荒之力——胸外科近期完成侵及心脏大血管的胸腔内局部晚期恶性肿瘤切除手术2例(2016年9月14日电 通讯员曹加顺)

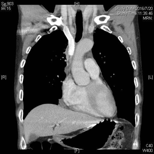
病例1——右肺上叶癌侵及肺门、左右无名及上腔静脉、右心房、心包及纵隔胸膜,行心包内右全肺、部分右心房、上腔静脉切除,人工血管原位置换术。
右肺上叶癌侵及心脏大血管分期为T4,常被认为无法切除,患者失去手术机会。既往不断有尝试切除并获得较好预后的报道,但手术难度大、围术期死亡率高仍是主要问题。此患者就诊前曾于外院行气管镜活检,病理提示肺腺癌。同时未见远处转移,具备手术指征。久经转诊的多家医院均认为无法手术。患者临床表现以上腔静脉阻塞综合征为主(头面部肿胀、静脉曲张、呼吸困难),成功切除肿瘤才能得到缓解。


手术采用胸骨正中切口,进胸后细致分离肿瘤与胸骨间粘连,充分探查后可见肿瘤侵及肺门、左右无名及上腔静脉、右心房、心包及纵隔胸膜。陈东红主任认为为达到R0切除,需进行右全肺、上腔静脉切除,人工血管重建。材料采用Gore-Tex带环人工血管,先以人工血管建立左无名静脉-右心耳血管桥,进一步心包内切除右全肺及受肿瘤侵犯的部分右心房,手工牢固缝合右心房,整块切除肿瘤后搭右无名静脉-右心耳血管桥。进一步彻底清扫纵隔淋巴结。完成手术后可见人工血管充盈,心脏搏动有力,血液动力学指标平稳。切除肿瘤标本直径约8cm,手术时间约7小时。

术后返回监护病房,术后2天拔除引流管,3天后转回普通病房,术后5天可自行下床活动。术后患者恢复良好,8天顺利出院。

病例2——胸腺恶性肿瘤侵及左右无名静脉、上腔静脉、双侧纵隔胸膜、双肺上叶前缘、右膈神经,行双肺上叶前缘、上腔静脉、纵隔胸膜、部分膈神经切除,人工血管原位置换术。
胸腺是前纵隔最主要的器官,最常见的原发肿瘤为胸腺瘤或胸腺瘤,以局部侵润性生长为主,出现症状时常已累及纵隔重要结构。治疗方式以手术切除为主,根治性切除能够显著延长生存,改善预后。患者胸腺肿瘤侵及上腔静脉、双侧无名静脉,临床表现为上腔静脉阻塞综合征。

手术采用胸骨正中切口,进胸后细致分离肿瘤与胸骨间粘连,充分探查后可见肿瘤侵及左右无名静脉、上中段上腔静脉、双侧纵隔胸膜、双肺上叶前缘、右膈神经,同时与头臂动脉前缘及左膈神经关系密切。经过充分游离周围粘连、切除双肺受累部分、清扫上纵隔淋巴结、剥离左侧膈神经,切断约3cm受肿瘤侵犯的右侧膈神经。陈东红主任判断肿瘤具备切除条件,需进行上腔静脉重建。手术采用Gore-Tex带环人工血管行上腔静脉置换顺势吻合,以CV-6缝线连续缝合。先以人工血管建立左无名静脉-右心耳血管桥,完整切除肿瘤后搭右无名静脉-上腔静脉血管桥。检查吻合口无渗血,血管桥无扭转。而后由骨科潘勇卫主任进行了右膈神经的对端吻合。手术彻底肿瘤切除,人工血管充盈,心脏搏动有力。肺部切缘采取手工缝合,术后肺膨胀良好无漏气。切除肿瘤标本直径约10cm,手术时间约8小时。术后返回监护病房,3天内拔除所有引流管。

患者于术后8天顺利出院,手术3月后复查提示人工血管通常,患者无不适症状。透视证实膈神经功能恢复,两侧膈神经同步活动良好。


胸腔局部晚期肿瘤常累及心脏大血管、神经、肺脏等重要结构,根治性切除手术难度极高。对手术团队,尤其是主刀医师的手术技术、临床决策能力、体力都是极大的考验。术者需具备坚实的胸外科和心血管外科手术技巧,同时能够周密地进行术前规划,全面地安排术后管理,才能取得理想的治疗效果。据报道,即便是国内顶尖的高通量胸腔肿瘤治疗中心,常常数十年内也不过几例类似手术的报道。此类高难度手术常是科室手术水平的标杆,手术的顺利完成体现出科室手术技术过硬的特点。此患者的成功治疗同样离不开麻醉科、重症监护室等团队的支持,他们提供的坚实后盾是年轻的胸外科迅速成长和成熟的基础。

北京清华长庚医院APP
快速挂号