在我们的日常生活中,酸性物质无处不在,从酸甜可口的水果、碳酸饮料,到胃酸反流等生理现象,它们都可能成为口腔健康的一大隐患——酸蚀症的幕后推手。作为一名口腔医生,今天就来和大家好好聊聊酸蚀症这个容易被忽视却又危害不小的口腔问题。
一、酸蚀症是什么
酸蚀症是指牙体硬组织在酸的作用下发生脱矿,导致牙齿结构逐渐丧失的一种病变。它是在长期、反复的酸性环境刺激下,牙齿表面的矿物质慢慢溶解,就像被酸水浸泡的石头,逐渐变得粗糙、脆弱,最终可能出现牙齿外形改变、敏感等症状。

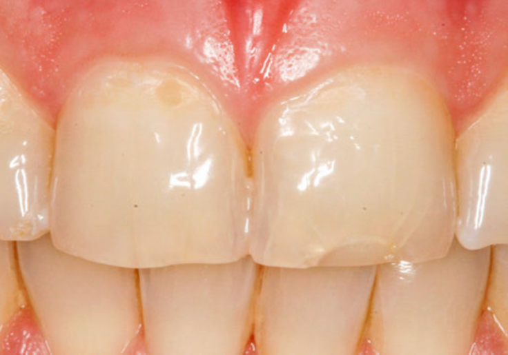
图1.酸蚀症造成牙齿表面脱矿,牙齿变薄
二、酸蚀症的常见原因
(一)饮食因素
1. 碳酸饮料:像可乐、雪碧这类饮料,含有大量的碳酸,碳酸会在口腔中分解产生二氧化碳和水,同时释放出氢离子,使口腔环境的酸碱度下降,变得偏酸性。而且很多人喜欢长时间含着饮料,这就延长了酸性物质和牙齿接触的时间,给牙齿造成了持续的酸蚀伤害。
2. 水果及果汁:柠檬、橙子、葡萄等水果富含果酸,新鲜水果适量食用一般问题不大,但如果经常大量食用水果,或者长期饮用未经稀释的纯果汁,其中的果酸也会对牙齿造成酸蚀。
(二)胃酸反流
这种情况常见于患有胃食管反流病的人群,当胃酸反流到口腔时,胃酸的强酸性会对牙齿造成严重的酸蚀。由于胃酸会率先接触上颌后牙,往往上颌的后牙更容易受到损伤。
(三)职业因素
有些特殊职业人群也容易患酸蚀症。例如,长期在电池厂、电镀厂等酸性气体环境工作的工人,酸性气体可能会进入口腔,对牙齿造成慢性酸蚀;还有红酒品鉴师,长期大量接触酸性的红酒,也会引发牙齿酸蚀。
三、酸蚀症的症状表现
(一)牙齿外观改变
早期可能只是牙齿表面变得没有光泽,原本光亮的釉质变得灰暗、粗糙。随着酸蚀的加重,牙齿表面可能出现白垩色的斑块,这是因为牙齿表面的矿物质脱失,导致牙齿的透明度改变。再进一步发展,牙齿可能会出现缺损,比如牙齿的切缘变薄、牙尖变平,后牙缺损呈凹陷,牙齿外形变得不规则,影响美观。

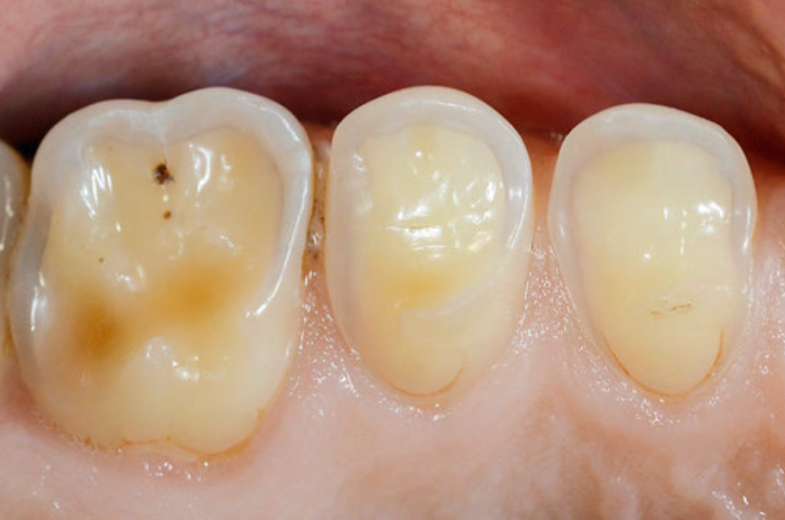
图2.酸蚀症牙齿咬合面呈凹陷状,表面光滑,牙体缺损
(二)牙齿敏感
这是酸蚀症比较常见的症状之一。当牙齿表面的保护层受到酸蚀破坏后,牙齿内部的牙本质小管暴露,外界的冷、热、酸、甜等刺激就会很容易通过这些小管传递到牙髓神经,引起牙齿酸痛。冷热酸甜刺激时,牙齿就会感到明显的酸痛不适。这种敏感症状会随着酸蚀程度的加重而越来越明显,甚至出现自发痛的牙髓炎症状。
(三)牙齿变脆
牙齿经过酸蚀后,硬度下降,且牙齿组织缺损,都会让牙齿变得比较脆弱,容易在咀嚼硬物时出现牙齿折裂的情况。比如吃坚果、啃排骨的时候,酸蚀症的牙齿就很容易出现崩裂,影响牙齿的正常咀嚼功能。
四、酸蚀症的预防措施
(一)饮食调整
1. 尽量减少碳酸饮料的摄入,如果实在想喝,可以用吸管,并将习惯放入上颚进行吸吮,减少饮料和牙齿的直接接触时间;并且喝完饮料后,用清水漱漱口,避免酸性物质长期浸泡
2. 吃水果和喝果汁也要适量,避免过度摄入果酸。吃水果后同样可以用清水漱口,或者嚼无糖口香糖,促进唾液分泌,帮助中和口腔中的酸性物质,保护牙齿。
(二)治疗胃食管反流
对于有胃食管反流病的患者,一定要积极治疗原发病,控制胃酸反流的情况。同时,在睡觉时可以适当抬高头部,减少胃酸在睡眠时反流到口腔的机会,保护牙齿免受胃酸的酸蚀。
(三)职业防护
从事酸性环境工作的人员,要严格按照职业防护要求,佩戴好防护口罩、面罩等防护用品,减少酸性气体进入口腔。红酒品鉴师在工作后要及时漱口,清洁口腔,减少对牙齿的酸蚀影响。
(四)日常口腔护理
保持良好的口腔卫生习惯,每天至少刷牙两次,每次刷牙三分钟,采用正确的巴氏刷牙法,清洁牙齿的各个面。同时,定期使用牙线清理牙缝,去除牙菌斑和食物残渣。每半年到一年去专业的口腔医院进行一次口腔检查和洁牙,及时发现牙齿的潜在问题,包括酸蚀症的早期迹象,做到早发现、早治疗。
酸蚀症虽然听起来可能没有龋齿、牙周病那么熟悉,但它对口腔健康的潜在危害却不容小觑。希望大家通过了解酸蚀症的原因、症状和预防措施,能够在日常生活中更好地保护自己的牙齿,远离酸蚀症的困扰,拥有一口健康、坚固的牙齿,绽放自信的笑容。

北京清华长庚医院APP
快速挂号