如今,正畸早已不是青少年的“专属项目”。随着口腔健康意识提升与审美需求升级,越来越多成年人卸下“矫正只是孩子的事”的固有认知,主动走进牙科诊所,希望通过正畸改善牙齿排列不齐、咬合异常等问题,让牙齿更整齐、笑容更自信。无论是家长早早为孩子规划矫正,助力其在生长发育期优化口腔形态,还是职场人利用碎片化时间开启矫正,力求以更清爽的形象面对社交与工作,大家的目标高度一致:通过科学正畸,收获健康与美观兼具的牙齿。
然而,很多人只关注矫正效果,却忽略了正畸期间的护理关键。若清洁不到位,正畸非但不能给牙齿健康 “加分”,反而可能导致牙釉质脱矿、牙龈炎,甚至引发牙齿松动等损伤隐患,让矫正之路偏离预期。
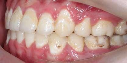
我们的牙齿看似坚硬稳固,实则“善变”。日常咀嚼会让牙面逐渐磨耗,而口腔内复杂的菌群环境,更时刻影响着牙齿状态。只要食物残渣、白色软垢附着在牙面,其中的细菌就会“疯狂干饭”——它们以食物残渣为养分,代谢后却会排出酸性物质。这些“隐形腐蚀剂” 会慢慢侵蚀牙齿最外层的牙釉质,起初不会出现明显的黑褐色蛀牙痕迹,而是先表现为牙面的白色云雾状斑纹,这在医学上被称为“脱矿”,正是蛀牙的“早期信号”。
而正畸治疗中,牙齿表面会粘贴托槽(也就是常说的“小钢牙”)、附件,这些装置会让牙齿表面变得凹凸不平,刷牙时很容易形成清洁死角。食物残渣和软垢会“躲”在托槽边缘、附件与牙齿的缝隙里。这就导致细菌繁殖速度更快,酸性物质堆积更严重,脱矿会以“倍速” 发生。
等到正畸结束、拆除托槽时,很多人会发现:原本光滑的牙面上,留下了一个个清晰的 白色小圈圈,这就是托槽位置长期脱矿形成的痕迹。不仅破坏了牙齿本身的美观,这些脱矿区域的牙釉质已经受损,变得脆弱易敏感,后续更容易发展成蛀牙,可谓牙齿齐了,健康却丢了,实在可惜。
正畸后脱矿的牙面
所以,正畸医生反复强调好好刷牙,绝非随口叮嘱,而是避免正畸后“变美变丑”“变齐变糟”的关键。在决定开启正畸前,一定要先想明白:整齐的牙齿固然重要,但健康的牙体基础才是根本。做好口腔卫生,才能让正畸真正成为锦上添花,最终收获既整齐又健康的笑容。

北京清华长庚医院APP
快速挂号