在门诊中,我常常遇到一些戴了活动假牙十年甚至更久的老人,他们习惯了假牙的松动和不适,甚至认为“只要没彻底坏,就能一直戴下去”。这其实是一个非常危险的认识。今天,我就来和大家深入聊聊活动假牙的“使用寿命”,以及超期服役背后隐藏的健康隐患。
一、为什么是“五年”?一个重要的临床参考线
首先,“五年”并非一个绝对化的硬性规定。就像汽车需要年检一样,五年是一个重要的“大检”节点。这个数字来源于临床观察:在正常使用和生理变化下,五年左右,口腔环境的变化和假牙自身的磨损累积,往往会导致假牙与口腔的匹配度出现显著下降,从而引发一系列问题。对于某些变化快的患者,可能时间更短。
二、三大“元凶”,让旧假牙变成健康杀手
元凶一:口腔的“地基”在不停流失——牙槽骨萎缩
这是我们强调更换假牙的最核心原因。我们的牙齿扎根在牙槽骨里,它就像假牙的“地基”。缺失牙齿后,失去咀嚼刺激的牙槽骨会以一种不可逆的方式缓慢吸收、萎缩、变低变平。这个过程在缺牙第一年最快,之后持续终身。
后果是什么?
1.假牙松动:地基塌了,上面的房子自然不稳。患者会感觉假牙越来越松,吃饭、说话时容易脱落,不得不依赖粘合剂,但这也只是权宜之计。
2.黏膜损伤: 假牙不再均匀贴合,某些部位会过度压迫牙龈黏膜,引发疼痛、溃疡,长期反复创伤甚至可能增加癌变风险。
3.形成“松软牙槽嵴”:在某些长期、集中受力的区域(如爱用前牙啃东西),坚硬的牙槽骨被吸收后,取而代之的是大量增生的、柔软无力的纤维组织。这会使假牙根本无法获得稳定支撑,大大增加未来修复的难度。


图1. 患者戴用十余年义齿后的上颌前部松软牙槽嵴,上颌前部本是硬质的牙槽骨被软组织取代,可随意推动。(患者喜欢前牙啃玉米、啃骨头等硬物,长期前部过大压力造成上颌前部牙槽骨吸收,逐渐转化为软组织,形成松软牙槽嵴)
元凶二:假牙材料“疲劳老化”——磨损与变形
活动假牙通常由树脂基托和金属卡环(钩子)组成。日复一日的咀嚼摩擦,相当于在慢速打磨这些材料。
1.树脂牙磨平: 假牙的咀嚼面(咬合面)被磨平,沟槽消失。这会直接导致咀嚼效率大幅下降。患者不得不吃更软烂的食物,无形中影响了营养摄入。为了嚼碎食物,他们可能会不自觉地加大咬合力,进一步加速牙槽骨吸收。
2.树脂基托老化: 树脂会变脆,可能出现细微裂纹,成为细菌滋生的温床。粗糙的表面也更易附着色素和牙菌斑。



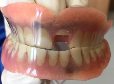
图2. 患者戴用十余年义齿后的旧义齿,咬合面及颊面磨损严重。
3.金属卡环变形: 卡环反复摘戴和受力,会疲劳变形,变得松弛。它无法再稳稳地“抱住”旁边的健康真牙(基牙),反而可能在摘戴时对真牙产生一个不当的侧向力,长期下来,会导致健康的基牙松动、甚至脱落,造成“缺一颗,带坏旁边两颗”的悲剧。
元凶三:全身健康的“隐形破坏者”——咬合紊乱与营养失衡**
这是一个常被忽略但至关重要的层面。一副不合格的旧假牙,影响的远不止口腔。
1.颞下颌关节问题:假牙磨损导致垂直高度降低,会使下颌不自觉地前伸或偏向一侧,以求找到咬合接触。长期如此,会牵拉关节,引发关节弹响、疼痛、张口受限等一系列颞下颌关节紊乱病的症状。
2.面部形态改变:牙槽骨萎缩和垂直高度降低,会导致下面部缩短,口角下垂,呈现“苍老面容”。
3.消化系统负担:咀嚼效率低下,食物得不到充分研磨就进入胃肠道,大大增加了消化系统的负担,长期可能导致营养不良或消化疾病。
三、预防远胜于治疗。为了避免上述问题,请您务必做到:
1. 定期复诊,动态跟踪: 这是最重要的一点!不要等到假牙坏了或痛了才来看医生。建议每半年到一年复诊一次。
医生会检查:
* 假牙与黏膜的贴合度。
* 卡环是否还牢固。
* 基牙和口腔黏膜的健康状况。
* 必要时,医生可以通过“重衬”技术(在假牙内衬垫一层新材料)来短暂恢复贴合度,但这只是补救措施。
2. 五年大检,评估更换: 到了五年左右这个节点,请务必进行一次全面评估。医生会综合判断您的口腔变化程度,告诉您是否需要以及如何更换新假牙。
3. 日常护理,延长寿命:
每日清洁: 每次饭后摘下冲洗,每天用软毛刷和假牙清洁剂刷洗,切忌用牙膏(含磨擦剂,会划伤假牙)。
睡前必摘:让口腔黏膜得到充分休息,防止细菌在假牙下大量滋生。摘下的假牙应浸泡在清水中以防变形。
避免“硬碰硬”: 不要用假牙啃咬过硬、过黏的食物,以免折断或磨损。
总结而言,活动假牙是一个“动态工具”,需要与您变化的口腔环境相匹配。及时更换不适用的活动假牙,不仅是为了吃得香、笑得自信,更是对剩余天然牙的一种保护,是对您全身健康的一份长期投资。
希望您能将这篇文章分享给身边佩戴活动假牙的亲友,提醒他们:爱自己,从关爱口腔健康开始,从定期检查假牙开始!

北京清华长庚医院APP
快速挂号