常言道:“牙疼不是病,疼起来真要命。”这句话生动地揭示了牙齿健康与生活质量的紧密联系。牙齿不仅是咀嚼食物的关键器官,也是面部美学的重要组成部分,承担着“门面”的重要角色。随着我国人民生活水平的不断提高,正畸治疗逐渐成为热门话题,并被越来越多的人所接受。许多患者知道正畸可以排齐牙齿、改善笑容,但对于正畸治疗对口腔健康的深远意义却了解不多。
正畸治疗主要针对的疾病是“错颌畸形”。错颌畸形是指牙齿、牙弓及颌骨在三维空间上的异常关系,导致牙齿排列不齐、咬合功能异常以及面部美观问题。我们常说的牙齿不齐、龅牙、地包天等问题,都属于正畸治疗的范畴。大部分患者或家长来到正畸门诊,最初的目的往往是觉得牙齿不好看,希望通过正畸治疗改善外观。但也有患者或家长会犹豫:“如果我不在乎美不美,是不是就没有必要做正畸了?”实际上,改善外观只是正畸治疗的目标之一,其最重要的目标是为未来长久的牙齿和口腔健康奠定坚实的基础。
以最常见的“牙齿不齐(牙列拥挤)”为例。牙齿不齐不仅影响美观,其最大的危害是妨碍牙齿的彻底清洁,导致刷牙难以刷干净。即使是在洗牙时,面对严重拥挤的牙齿,专业器械有时也难以触及某些狭窄区域。这些难以清洁的区域容易积累牙菌斑和食物残渣,成为龋齿和牙周病的“温床”。而龋齿和牙周病又是导致牙齿缺失的主要原因。更令人困扰的是,这些牙齿并不会在同一天脱落,而是会按照一定的顺序逐个脱落。想象一下,如果有一天,一颗歪歪扭扭的门牙最先脱落,我们是选择种一颗同样歪斜的牙齿,还是在有限的空间里种一颗不协调的“小牙”,或者干脆等待其他牙齿陆续脱落后再一起修复呢?
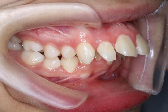
深覆颌与深覆盖也是非常常见的错颌畸形(如图)。前牙的错误咬合力量往往会导致上下门牙受到慢性损伤而过早脱落。而门牙缺失后,对侧牙齿的错误位置又会成为种植或修复的障碍。

深覆盖

深覆合
王医生曾接诊过一位60岁左右的老年患者,由女儿陪同来到正畸门诊。在沟通的过程中,女儿忍不住哭了。她说:“我妈妈上颌的4颗门牙和尖牙都掉了,吃东西非常困难,想镶牙。我们先去看了种植医生,但种植医生说她的下牙咬住了上颌牙床,无法种植,建议我们咨询修复医生。修复医生又说,下牙咬上颌牙床的情况太严重,修复难度很大。我们真的不知道该怎么办了。”经过临床检查,王医生发现由于患者多年的错颌畸形,牙齿错位非常严重,正畸治疗的时间较长、风险较高。如果能在更早的时候进行正畸干预,这位患者的门牙可能不会这么早脱落,也不会面临无法修复和种植的困境,实在令人惋惜。
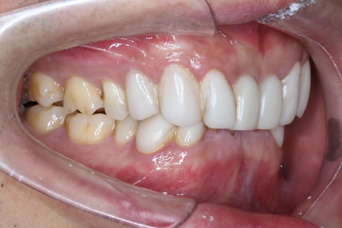
后牙的锁颌也是一种危害很大的错颌畸形。由于发生在后牙,早期也往往没有不适,容易被人们忽视。后牙的锁颌是指上下牙齿严重里外错位后卡顿,无法行成正常的咬合关系。长此以往,错误的咬合力会引起后牙的过早脱落,对面牙齿的错位又会影响种植修复。比如下面图中这位患者,就是右下后牙长期向舌侧倾倒。年轻的时候觉得不痛不痒,左边也能吃饭,并没有觉得右边牙齿不能正常咬合有什么问题。人到中年,突然右下后牙开始疼痛松动,到口腔科就诊,但是右下后牙已经无法保留了。可是此时上面的大牙与下面的牙龈紧紧咬合,无法直接进行种植修复。这位患者最终进行了正畸治疗,才达到了下后牙的种植条件。如果这种错误的咬合在早期通过正畸治疗解决,这个患者的下后牙是能够长期保留的,实属可惜。

锁颌
这些案例提醒我们,错颌畸形不仅影响美观,更会对口腔健康造成深远的危害。希望更多的患者能够在牙齿问题尚未恶化时,尽早接受正畸治疗。一个健康的咬合关系能够有效降低牙齿因错误受力而导致的过早脱落风险。即使因为龋坏、外伤等特殊情况导致个别牙齿意外早失,良好的牙齿排列和咬合关系也会为后续的修复或种植提供非常有利的条件。
正畸治疗不仅是改善笑容的选择,更是为口腔健康保驾护航的重要手段。及时的正畸治疗,可以帮助我们避免许多不必要的痛苦和复杂的治疗过程,让牙齿和口腔健康长久受益。希望大家的牙齿越来越好,笑容越来越自信,健康常伴左右!

北京清华长庚医院APP
快速挂号