近年来,中国脑卒中发病率居世界排名第一。随着大量的卒中病人出现,约有30%的患者都伴随着不同程度的言语障碍—失语症。当言语功能收到损伤,不仅仅降低了病人的生活质量,更是使康复之路充满了挑战!失语症的患者往往因为"听不懂"或"说不出"导致日常交流障碍,心情变得压抑和消极,对康复的预后有非常大的影响。病人不能理解康复治疗的要点,不能反馈自身体会,都会大大降低其他康复训练的效果,使康复的过程变得缓慢而艰辛,甚至不能达到预期目标。而尽早的介入言语康复治疗则可有效改善其言语功能障碍,更能使康复治疗变得事半功倍!
小刘的母亲张阿姨于2018年5月住入我院,诊断为脑出血,经过神经内科的有效治疗后现已清醒,但自恢复意识以来,一点声音都没有出过,这可把小刘和母亲急坏了。“大夫,我妈不会说话了,怎么办啊?”“她什么都懂可就说不说话,是不是哑了?”小刘心急如焚的和我们说。清华长庚医院康复医学科言语治疗师对张阿姨进行了一系列的言语能力评估,发现其理解和能力相对较好,正确率为80%,而表达能力几乎为0!连最基本的声音都无法发出,经检查并无器质性病变,将其诊断为皮质下失语伴随孤立发声障碍—纯词哑。
什么是皮质下失语?什么是纯词哑?
皮质下失语是指限于皮质下基底节、丘脑和深部脑室旁白质结构病变引起的失语。这些部位的小病灶,由于损害了与发音、言语有关的运动系统,可产生纯语言障碍,即纯词哑。纯词哑(aphemia)是比较少见的言语障碍临床综合征,简单来说,就是一个人生病后突然像哑了一样,明明什么都明白,可是完全不能用声音来表达自己的意图。不能说话,让病人和家属之间建起了一道无形的墙,国内相应的报道较少,一般恢复较为缓慢,通常需要数月至数年的时间不等。对于纯词哑的病人,早期若不加以言语康复治疗干预,其言语功能后期恢复将会非常困难;而越是早期的介入治疗,预后就会越好。


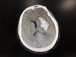
患者头颅CT示可见左侧基底节区团块状高密度出血灶,左侧侧脑室受压变窄。
结合患者听理解阅读等理解能力相对较好,但在其言语表达方面存在严重障碍,表现为缄默状态不能发声,伴随一定的口面失用,符合皮质下失语中纯词哑的临床表现。该种失语类型虽不常见,相比于其他失语症病人,更难克服开口发音障碍,也更容易影响病人的心理情绪。对于这类病人,首先要解决的就是发音问题。我们认为该病人病程时间较短,早期合理介入并使用适宜的训练方法,是有希望取得良好预后的。 为此我们为其设定了一系列详细的训练计划,包括如下训练:
呼吸训练:缩唇呼吸训练;腹式呼吸训练

发声训练:元音辅音训练;声音控制训练
口面动作训练:包括口部开合训练;唇操训练;舌操训练
口语表达训练:命名训练;看图说话
经颅直流电刺激
治疗两周后对张阿姨再次进行了言语功能的评估,听理解和阅读理解能力相比之前提高了10%,最大的变化就是可以出声音了!在对物品叫名字时,可以说对40%的物品名字;几乎可以100%的进行语言的模仿和重复。这对张阿姨和他的儿子来说,都是无比激动和兴奋的结果,但这还只是一个开始~
在康复科与我们相处了一月有余后。张阿姨不仅能够发声,还能与人简单交流,腿也变得有劲了,可以在帮助下进行站立,时常还会高歌几首给自己加油打气呢!张阿姨在康复过程中的心态也发生了巨大的变化,对我们的专业能力产生了深度的信任和肯定。康复不光需要努力和汗水,专业的医护人员的帮助,也是必不可少的呢!
唱歌视频

北京清华长庚医院APP
快速挂号