呼吸是维持的人类生命的最基本条件,我们每时每刻都在呼吸,可呼吸困难了应该怎么办?在大多数患者心中,呼吸困难只能通过药物、吸氧甚至呼吸机来维持生命。但其实, 随着医学的不断发展进步,呼吸康复也是目前预防和治疗呼吸问题的重要手段之一。
近期康复科遇到了一位这样的患者,其主要诉求就是不能平卧,夜间需要坐位睡觉,否则就会呼吸困难,日间活动也受到明显影响,爬楼2层即出现憋闷,可独立步行百米后呼吸不畅感明显。曾于外院就诊,考虑为双侧膈肌麻痹导致的呼吸困难,肺功能提示通气功能轻度减退限制型障碍。

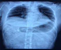
图为患者胸片,可见双侧膈肌高位
面对这样一例相对罕见的病例,对此潘钰主任医师协同康复医生、物理治疗师、言语治疗师、康复护士共同为这个患者进行详细康复评估。从患者呼吸模式、胸廓活动度、膈肌活动情况,到核心肌力肩颈带肌力情况进行综合分析。发现患者存在上肢肌力下降、上交叉运动模式,反常腹式呼吸,双侧胸廓活动度对称下降等多种问题。根据腹式呼吸训练、呼吸肌力量及耐力训练、核心躯干肌训练、胸廓活动度训练、联合膈神经电刺激、吸气肌力量训练等维持并扩大膈肌活动度,改善呼吸功能,联合姿势矫正训练,提高日常生活能力为主。


图为患者进行呼吸训练
康复治疗两周后患者纠正异常呼吸模式,目前腹式呼吸为主,呼吸幅度较前改善,胸廓活动度增加。运动耐力较前改善,平地步行未见明显障碍,可上楼梯3层。夜间佩戴呼吸机后可平卧睡眠,血气基本正常。膈肌超声提示双侧膈面于吸气末与呼气末可见活动,幅度约1.3cm。
呼吸维持生命,综合康复治疗改善呼吸。呼吸康复是在详细的患者评估和个体化治疗基础上的一套多学科合作的综合干预措施,包括但不仅限于运动锻炼、教育和行为改变等。我国王辰院士指出:呼吸康复的对象不仅包含了常见的呼吸系统疾病,如:慢阻肺、间质性肺疾病、支气管扩张、囊性纤维化、支气管哮喘、肺动脉高压、肺癌;还包含了围手术期患者:肺减容手术、肺移植等;危重症及机械通气患者;以及神经肌肉病变导致的呼吸衰竭、中枢神经系统病变导致的呼吸问题,和其他系统病变导致的呼吸问题。随着科技的发展,康复治疗的方法也在日新月异。北京清华长庚医院康复团队针对患者的各项功能障碍,积极引进呼吸训练系统、膈神经电刺激及呼吸训练技术,力争为广大患者提供最先进的康复治疗技术。

北京清华长庚医院APP
快速挂号