前言
您是否正在经历反复膝关节疼痛、肿胀等困扰。目前北京清华长庚医院康复医学科正在开展“富血小板血浆和振动治疗对膝关节骨性关节炎的疗效研究”,现拟招募膝骨关节炎患者,旨在为患者提供全面个性化康复治疗。该临床项目已获得北京清华长庚医院伦理委员会批准。
膝关节骨性关节炎(KOA)是常见导致膝关节疼痛和残疾的退行性疾病之一。目前治疗方法主要以缓解疼痛和症状为目的,关节内注射富血小板血浆(PRP)作为一种微创疗法,可安全有效地治疗KOA。PRP内富含多种生长因子,具有促进细胞增殖和胶原合成的作用,能有效修复关节软骨,延缓其退行性改变,近年来在治疗骨关节炎,特别是KOA方面应用广泛。全身振动训练(whole body vibration training, WBVT)作为一种新兴的运动治疗手段逐渐受到关注,该训练方法在康复医学领域应用广泛,有研究证实其有助于改善肌肉骨骼系统疾病(慢性腰痛,膝骨关节炎)和神经系统疾病(脑卒中、脊髓损伤)功能障碍。

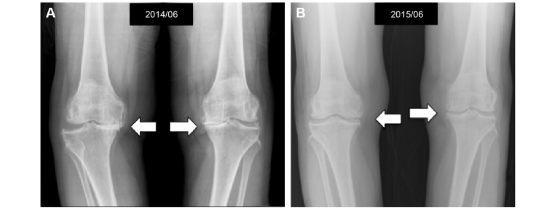
图为膝骨关节炎患者注射PRP后膝关节影像学改变。
招募对象
1. 纳入标准:
1) 基于美国风湿病协会(ACR)分类标准诊断为膝骨关节炎的患者;
2)年龄为40-70岁;
3)目标研究侧膝关节 Kellgren-Lawrence分级属于I-II级者,可为单侧膝关节病变或双侧病变单侧严重者;
4) 疼痛持续超过半年,或经过常规临床治疗,例如激素、阿片类药物、粘弹性补充治疗等,停药后骨关节炎再次复发或加重的患者;
5)能够理解并自愿签署知情同意书,能自愿完成试验程序和随访检查。
2. 排除标准:
1)诊断为继发性膝骨关节炎的患者;
2)患有其他导致膝关节功能受损或影响关节的疾病(如创伤导致的急性关节损伤、类风湿性关节炎、代谢性骨病、银屑病关节炎、痛风性关节炎、症状性软骨钙化、骨关节结核、骨肿瘤、坏死或活动性感染等);
3)既往使用过富血小板血浆注射治疗的患者;
4)治疗开始前4周内膝关节(双侧或任意一侧)局部注射糖皮质激素、麻醉剂治疗,或膝关节(双侧或任意一侧)局部外用糖皮质素治疗,或接受过系统性糖皮质激素治疗,或研究期间需接受系统性糖皮质激素治疗的患者;
5)曾进行膝关节置换术、关节镜或其它下肢手术者;
6)拟注射部位周围有皮肤疾病或皮肤感染;
7)严重心脑血管疾病、糖尿病、血液病、活动期传染性疾病、恶性肿瘤病史或其他内科疾病;
8)血红蛋白<110 g / L或血小板<100×10^9 / L;
9)精神病或合并认知功能障碍等原因,不能配合治疗者。
受试者权益
本研究分为PRP治疗,PRP联合振动治疗及常规康复治疗,共计3组患者。如您加入本研究,将根据具体情况获得免费PRP注射一次、振动治疗,或者免费物理因子治疗。
研究共纳入30例患者,每组10人,随机入组,额满为止。
如您符合相应入组条件或对本研究感兴趣,可至康复医学科门诊就诊,评估合格后入组。
联系人:
康复医学科潘钰主任医师(门诊时间:周一、四上午)
杨绯主治医师(门诊时间:周二上午;周三、四下午)
联系电话:5611 9274

北京清华长庚医院APP
快速挂号