
超声心动图,俗称心脏超声。顾名思义,是用超声这个技术观察跳动的心脏。如果说听诊器是心内科大夫的耳朵,那么超声心动图就是大夫的“眼睛”。

不同于心电图提供的心脏电活动信息,超声心动图提供的是心脏和大血管的结构、心腔内血流动力学和心脏功能状态等信息,两者不可替代,互为重要的补充。
“用途超广泛”
它可以说是心血管疾病的基础检查项目,心悸、胸闷、胸痛、气短、呼吸困难、甚至晕厥等症状,几乎所有可疑或确诊的心脏疾病都可以考虑行超声心动图检查。
不仅心内科疾病,很多系统性疾病也常常累及心脏需要开立此项检查,比如甲状腺功能异常、糖尿病、恶性肿瘤、神经系统疾病、结缔组织病、胸部放疗、全身化疗后等等。

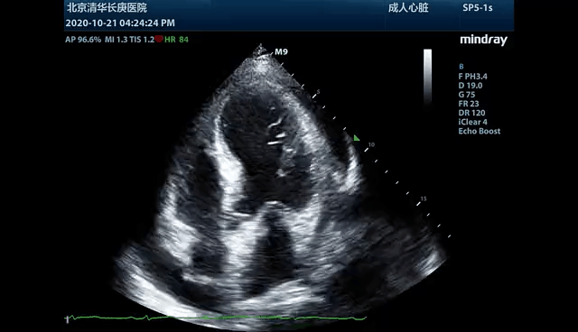
一例48岁男性心肌梗死患者,超声心动图发现并发心功能不全,大量心包积液

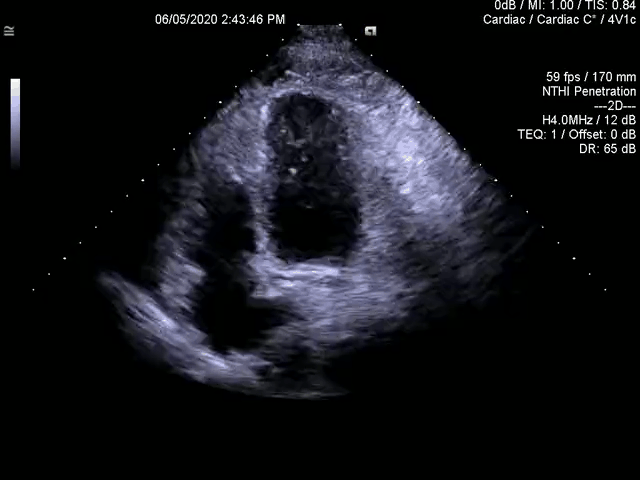
一例晕厥患者,超声心动图发现左心房内占位,手术摘除,术后病理证实粘液瘤
“优点也很多”

因为其无放射性或致畸致癌风险,以及能够可靠的检出严重的心脏结构和功能异常的优势,不仅孕妇可以做,甚至胎儿心脏超声也是非常重要和普及的检查项目。
此外,妊娠期高血压、围产期心肌病、急性肺栓塞、急性主动脉夹层等是孕妇并不少见的心血管疾病,在临床怀疑或明确存在这些疾病时,超声心动图都是重要的辅助评估手段。
“无需特殊准备”
吃饭照常 喝水照常 吃药照常
无需空腹 无需憋尿 无需妥协
无需摘下手表项链等
但是
01/由于检查的时候要充分暴露左上胸部(和心电图类似),女性尽量不要穿裙子,建议穿着宽松的半身衣服。
02/尽量保持手机静音,虽然手机的磁场不至于影响超声图像,但检查时说话可能会导致采集的图像位置不稳定而影响图像的质量,也会分散大夫的注意力。
03/紧张情绪虽然不会明显影响检查结果,但是可能会影响心率,所以尽量放松心情,不必紧张。

细心的患者可能注意到,有的医院检查要背对大夫,有的医院又是面对大夫。其实不管大夫使用哪只手,患者的体位都是一样的:一般先取左侧卧位,左上肢尽量上举或外展(图),然后再根据大夫的指示进一步调整体位。只是根据各医院和医师的习惯不同,大夫可采用左手或右手检查。

图:超声心动图检查时,患者充分暴露左前胸,取左侧卧位,左臂上举以扩张肋间隙,右臂自然搭于身上,医生根据医院和个人习惯不同可采用右手(A)或左手(B)操作。
网友A:心脏不是在左侧吗?左侧卧位会不会压到心脏呢?
解惑:不会的!相反,左侧卧位可以让心脏避开含气的肺脏,和胸壁贴的更近,因而使得图像更清楚。左上肢上举或外展则可以增加肋间隙,减少心前区脂肪和肌肉堆积,也是为了提高图像质量,保证大夫得到最准确的结果。
网友B:做检查时,我感觉大夫一拿探头摁下去就很疼,是病了吗?
解惑:这种按压痛并不少见。有的是因为患者太瘦,探头扫查时按压到了骨头;有的是因为患者太胖,胸壁肥厚,检查医师需要适当用力以减少探头和胸壁间的气体,都是为了提高图像质量,让大夫看得更清楚、保证结果更准确;有的时候大夫并没有是很大的劲,患者也会感到疼痛,这在女性比较常见,可能和患者乳腺增生或骨质疏松有关。但不管什么情况,按压产生的疼痛基本都和心脏是没有关系的。
网友C:大夫,我放过冠状动脉支架,您能看到那个支架吗?
解惑:了解超声这门技术和心脏冠状动脉的解剖就不难理解:超声心动图是无法观察冠状动脉支架的,至少目前还没有达到这样的水平。
超声心动图穿透厚厚的胸壁,实时动态观察心脏和大血管,主要是观察心腔大小、室壁厚度和运动、近心大动脉及心腔内的血流。成人冠状动脉开口的直径多在0.3-0.5cm,越往远心端内径越细小。而冠状动脉支架安放的位置常常在某支冠脉的中段或远段,支架的内径亦小于已经发生脉粥样硬化和狭窄的冠状动脉。超声心动图可以观察左、右冠状动脉开口,小儿、体型适中者冠状动脉较易显示,老年、肥胖体型及吸烟、肺气干扰严重的患者冠状动脉往往不易显示,而这些往往又是冠心病高危人群。
因此超声心动图既不能通过直接观察到冠状动脉内的斑块来诊断冠心病,也不可能评价支架的性能。
网友D:医生同时给我开了超声心动图和动态心电图,需要注意什么?
解惑:由于后者需要在胸前贴很多电极片可能会影响超声心动图探查的最佳区域,而且一般佩戴24小时,所以一定要在佩戴动态心电图之前,或者摘除动态心电图之后再去做超声心动图检查。
文章 心脏内科孔令云 刘芳
编辑排版 宣传中心南子钰
特别致谢 朱丹妮手绘
Copyright © 2014-2016 北京清华长庚医院 All Rights Reserved.
地 址:北京市昌平区立汤路168号 邮 编:102218
网 址:www.btch.edu.cn 电 话:010-56118899 传真:010-56118500
技术支持:信息管理处 京公网安备11011402000212号
友情链接:
京ICP备15031026号-1
京卫计网审【2015】第0072号