北京清华长庚医院3月18日电(通讯员 向伟 马志毅 李艾桐 )2024年1月31日,不仅是王阿姨重获新生的日子,也是心血管中心各个团队在张萍副院长带领下精诚合作、成功救治危重症心衰患者的一次次缩影之一。出院后的王阿姨感觉特别轻松,她和家属特意回到了北京清华长庚医院表达了对心血管中心各个团队的深深感激之情,并送上了锦旗和鲜花,锦旗上面写着“视病人为亲人,弘扬医德医风”。王阿姨激动地说:“是北京清华长庚医院心血管中心给了我第二次生命,你们不仅治愈了我的身体,更温暖了我的心,你们真的是一群事事为患者着想的白衣天使、一支守卫心血管健康的战士。”

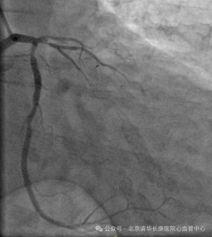
故事得从2024年元旦说起,伴随着一阵急促声,北京清华长庚医院急诊部接诊了一位突发喘憋伴一过性意识丧失的患者,急诊医师快速判断出患者存在心肌缺血及心衰表现,且合并晕厥,病情危重,遂请心血管内科急会诊。北京清华长庚医院心血管内科当天值班的佘飞主任、向伟主治医师迅速到场,详细询问后发现王阿姨患有高血压,糖尿病,高胆固醇血症多年,平素间断有胸闷症状。3个月前突发过明显胸痛1次,在家休息后缓解。此后逐渐出现活动量明显下降。当天因着急追公交车后突发喘憋伴一过性意识丧失紧急就诊。佘飞主任、向伟主治医师迅速判断出王阿姨患有冠状动脉粥样硬化性心脏病(简称冠心病),3月前突发急性心肌梗死后出现心功能不全,此次因为追公交车后出现了心衰急性发作伴晕厥。冠心病 心肌梗死非常常见,心力衰竭是心肌梗死后十分常见的并发症,严重影响患者的生活质量,也是导致反复住院甚至导致死亡的常见病因。为此,王阿姨被立即护送到心血管中心接受治疗。在佘飞主任、何榕主任及马志毅副主任医师、向伟主治医师的指导下、心血管中心医护团队为王阿姨精心制定了治疗和护理方案,超声影像团队的刘芳主任医师也为患者仔细查进行了超声心动图检查证实王阿姨的心脏出现了心肌梗死后的一系列典型改变(左心增大、室壁运动障碍、室壁瘤形成、心功能显著减低,左心室射血分数仅35%)。冠脉介入团队的耿雨主治医师随后为王阿姨进行造影检查发现王阿姨的三支冠脉均严重狭窄,其中左前降支近端100%闭塞。后续检查发现其心脏梗死面积大,冬眠心肌少。优化药物治疗后王阿姨的喘憋症状得到了显著缓解,但冠脉狭窄、心肌坏死及室壁瘤无法解决。

(患者心电图)


(患者冠脉造影)
面对这一困境,在学科带头人张萍副院长的主持下,心血管中心心脏内科团队、心脏外外团队、心脏影像、冠脉介入、心脏重症监护、心脏康复及护理团队深入讨论后为王阿姨量身制定了一个精细化的治疗方案——由心脏外科沈冬焱主任团队为王阿姨行冠状动脉旁路搭桥术(CABG)+室壁瘤切除折叠术,这样既能解决冠脉狭窄、心肌缺血又能缩小室壁瘤的范围。经过周密准备后,手术取得了圆满成功。术后在心脏监护团队和心外科团队的精心治疗和照护下,心脏康复团队也早期启动了术后心脏康复治疗,王阿姨恢复顺利,很快康复出院。出院前复查超声心动图提示心功能得到了显著改善,射血分数显著提升(由35%升至51%),王阿姨说自己的生活质量也得到了极大提高,于是出现了开场的那一幕。
其实,像王阿姨这样的患者并不少,对于这类患者,北京清华长庚医院心血管中心专科医师提醒您需要重视三件事情:
第一、请谨记规律就医很重要,尤其是对于合并三高(高血压、高血糖、高血脂)等危险因素的中老年患者,规律就医能及时发现潜在的心脏问题,可以有效减少急性心肌梗死及其并发症的发生。
第二: 请谨记“胸痛不是小事,切勿忍耐!”当出现胸痛症状时,这可能是心脏发出的紧急求解信号,暗示着可能有发生急性心肌梗死等风险。而心肌梗死是一种严重的心脏疾病,如果不及时诊治,可能会导致一系列并发症发生如心力衰竭、心脏破裂、恶性心律失常甚至猝死等。因此,一旦感到胸痛,应立即就医,接受专业的诊断和治疗。
第三、请谨记复杂、危重心脏病患者的救治需要多学科多团队的及时沟通、全力配合、紧密协作。北京清华长庚医院心血管中心在张萍副院长、心脏内科佘飞主任、心脏外科沈冬焱主任等带领下,超声影像团队、冠脉介入治疗团队、心脏重症监护团队、心脏护理团队及心脏康复团队的紧密合作下,已成功救治了无数危重、复杂心脏病患者。未来,北京清华长庚医院心血管中心将继续用实际行动诠释精准医疗、精益管理、精诚服务的“三精医疗”理念,始终以患者为中心,不断提升医疗技术和服务水平,为更多危重、复杂心脏病患者带来生命的曙光,为广大百姓心血管健康保驾护航。

Copyright © 2014-2016 北京清华长庚医院 All Rights Reserved.
地 址:北京市昌平区立汤路168号 邮 编:102218
网 址:www.btch.edu.cn 电 话:010-56118899 传真:010-56118500
技术支持:信息管理处 京公网安备11011402000212号
友情链接:
京ICP备15031026号-1
京卫计网审【2015】第0072号