北京清华长庚医院4月18日电(通讯员薛亚军 周杰)黄老今年74岁高龄,平素身体健康,聊天会友,遛弯逗狗,生活舒适惬意。但在2018年4月16日早上8点半逛华联超市时突发胸骨后剧烈疼痛,伴大汗,心慌,疼痛持续不缓解,摔倒在地,超市员工发现后,立即呼叫120并协助送入北京清华长庚医院急诊科,心电图显示急性心肌梗死,同时合并III度房室传导阻滞,心率仅30-40次/分(正常为60-100次/分)。

图1 华联超市吴经理和员工通过120护送老人来到北京清华长庚医院急诊室,在家属未到时,协助转运患者至导管室
图2 患者就诊时心电图: 心动过缓,II、III、avF导联ST段抬高提示急性心肌梗死
急性心肌梗死合并III度房室传导阻滞,病情极其危重,需紧急行冠脉造影及介入治疗,开通闭塞血管。但黄老今日独自一人出门,儿女均不在身边,无人替黄老签署知情同意书。在此危急情况下,北京清华长庚医院立刻启动绿色通道,在行政总值班见证下,征求黄老同意后,立即于心脏内科导管室行急诊冠脉造影。,冠脉造影显示:RCA近段100%闭塞,考虑右冠状动脉闭塞引发急性心肌梗死及心动过缓,术中即刻开通闭塞血管,此时距黄老踏入我院急诊仅30分钟,距黄老发病仅70分钟。

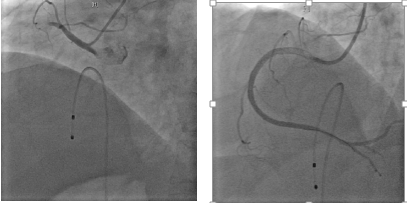
图3:造影提示右冠状动脉完全闭塞(左);术中开通右冠脉并植入支架后血流恢复正常(右)

图4 缪国斌主任医师(右)和薛亚军主治医师(左)手术中
术后,黄老症状明显缓解,平安转入心脏内科监护病房(CCU),此时子女也到达了长庚医院,握着心内科薛亚军医师的手说“感谢清华长庚医院的及时救治,让老爷子转危为安”。
“时间就是心肌,时间就是生命”,冠心病、急性心肌梗死是目前死亡率最高的疾病,多好发于中老年人。及时、有效的开通闭塞血管是抢救中最关键的环节,可大大改善患者预后,降低死亡率,改善生活治疗。北京清华长庚医院心脏内科在医院多科室协助下,开设胸痛绿色通道,保证心肌梗死患者入院后再灌注时间小于90分钟(目前,我院平均时间67分钟),确保心肌梗死患者能够得到及时的救治,获得良好的预后及生活治疗。
如果您身边有中老年人突发胸痛、胸闷或者仅仅是胸口不适,或者是晕倒在地,请及时将病人送至附近的医疗场所,可能您及时的援助就能挽救一个人的生命、一个家庭的幸福。危难之中,人人伸出援手,世间自有真情在,春风暖暖满人间!
Copyright © 2014-2016 北京清华长庚医院 All Rights Reserved.
地 址:北京市昌平区立汤路168号 邮 编:102218
网 址:www.btch.edu.cn 电 话:010-56118899 传真:010-56118500
技术支持:信息管理处 京公网安备11011402000212号
友情链接:
京ICP备15031026号-1
京卫计网审【2015】第0072号