清华长庚医院6月5日电(通讯员薛亚军)对于急性心肌梗死患者来说,“时间”就是“心肌”,早一分抢救,就多一分心肌的存活。而患者从心肌梗死发作到进入手术室成功开通心脏血管的过程,好比一场与死神展开的接力赛,接力棒的交接速度将直接决定患者的生死、预后。2017年4月30日韩先生正是经历了这样一场接力赛。让我们来看一下在这场接力赛中韩先生所经历的时间表。
4月30日21:35,韩先生因持续胸痛半个小时来到东小口社区服务中心内科诊室,拉响了这场生命接力赛的号角。第一棒:东小口社区服务中心医生李美香主任立即行心电图检查,判断韩先生为广泛急性前壁心肌梗死;第二棒:10分钟后,也就是当晚的21:45,接诊的医生通过“医联体微信群”与北京清华长庚医院心脏内科取得联系并将接力棒传给了急救中心120;第三棒:晚上22:20,120急救车抵达北京清华长庚医院急诊,急诊医生复查心电图、抽血,再次确定心肌梗死诊断,并与家属交代病情;第四棒:22:46,经北京清华长庚医院急救“绿色通道“,心脏内科医生接手,并开始手术;最后冲刺:23:02,通过及时手术,冠脉内球囊扩张,恢复患者心脏血流;5月1日0点16分,手术顺利结束,患者平安抵达心脏内科监护病房。由此经历77分钟的时间,韩先生完成了急性心肌梗死这个与死神竞争的接力赛,成功的开通了血管,赢得了生死时速后的成功脱险。

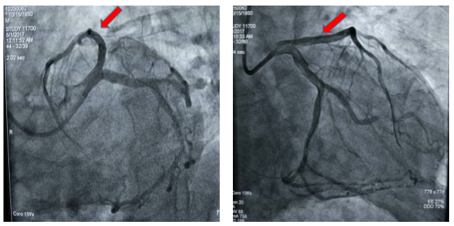
图1 患者术前冠脉造影显示冠脉血管前降支近段100%闭塞

图2 患者术后冠脉造影显示冠脉血管前降支支架治疗后完全开通
这是1例典型的急性心梗患者抢救过程的接力时间表,从患者由社区转诊三级医院,到恢复患者心脏供血,用时77分钟。自2015年,北京清华长庚医院与东小口社区医院紧密医联体建设以来,这样的接力赛屡见不鲜,这份时间表既普通又有代表性。
全球心肌梗死治疗指南提倡在心肌梗死后,120分钟内通过介入手段开通闭塞血管,恢复心肌正常血供。而当心梗发作时,每一分钟的流失都代表心肌不可逆的坏死。从哪里可以抢到的时间?
“紧密医联体建设”是抢时间的首要因素。东小口社区卫生服务中心内科主任李美香接诊后,快速、准确诊断后,第一时间与三级医院取得联系,确认接诊,双方实现无缝衔接。转诊前,李美香为患者口服阿司匹林300mg,氯吡格雷600mg,这为北京清华长庚医院做好急诊经皮冠状动脉介入治疗(PCI)做好了术前准备。
“绿色通道”是抢时间的关键环节。患者抵达北京清华长庚医院后,得到社区服务中心提前通知的急诊科已经做好了抢救的准备,经过复查确诊为心梗,与家属沟通后,启动心梗抢救“绿色通道”,为了保证这一通道全程无阻,医院通过制度,打通了心脏血管中心、急重症中心、医学影像、检验、信息资讯、介入导管室,以及医事、财管、后勤等临床及行政部门,以抢救患者的生命为最高职责,多学科密切合作、无缝连接。
值得一提的是,晚上21:45分,接到急诊电话,北京清华长庚医院心脏内科三线医师缪国斌主任医师、刘元伟副主任医师、翟彦龙技师,在张萍主任的指挥下,均在15分钟内赶到医院,患者抵达医院时,他们已在各自的岗位做好接诊和手术的准备。所以,医师是抢时间的核心。
医联体是指区域医疗联合体,是将同一个区域内的医疗资源整合在一起,通常由一个区域内的三级医院与二级医院、社区医院、村医院组成的一个医疗联合体。目的是进行整合式医疗,解决百姓看病难的问题,并且让危重的患者得到及时的救治。而良好的沟通,相互的学习是医联体整合式医疗发挥作用的前提。在过去的1年里,北京清华长庚医院心脏内科通过微信互动学习、进社区健康宣教、心血管疾病义诊、疑难病例讨论等活动,与东小口卫生服务中心取得良好沟通、交流。密切的交流,良好的沟通,无缝的链接,各级医院医生相互的信任与默契的配合是“医联体”整合医疗模式发挥作用的基础,是患者得到及时、充分、高质量的医疗服务的保障。相信经过不懈的努力,北京清华长庚医院将与周围社区医院进一步深化并完善“医联体”整合式医疗模式,为京北居民提供最优质、最及时的医疗服务。
Copyright © 2014-2016 北京清华长庚医院 All Rights Reserved.
地 址:北京市昌平区立汤路168号 邮 编:102218
网 址:www.btch.edu.cn 电 话:010-56118899 传真:010-56118500
技术支持:信息管理处 京公网安备11011402000212号
友情链接:
京ICP备15031026号-1
京卫计网审【2015】第0072号