2021年5月24日(通讯员 刘鹏 耿雨),我院心脏内科张萍副院长带领的起搏电生理团队,在李学斌教授指导下,由刘元伟、何榕医师顺利植入了Micra无导线起搏器。

患者为81岁老年男性,既往因房颤伴长间歇植入双腔永久起搏器,患者曾因起搏器电量耗竭先后更换过2次传统双腔永久起搏器。目前起搏器电量接近耗竭,目前体内一根导线废弃,另一根导线功能障碍,需再次更换起搏器。患者为高龄男性,合并高血压等多种慢性疾病,为起搏器更换术后感染高危人群;由于目前患者的起搏器导线故障,甚至需要再次植入一根新的起搏器导线。届时患者体内将有3根导线。心内科经过充分术前讨论,认为患者具有无导线起搏器的指征,同患者及家属沟通后,患者及家属一致要求更换无导线永久起搏器。
Micra无导线起搏器优势:
一、无导线,无囊袋
无需植入心内膜导线,无需在胸前皮下制作囊袋。这极大的减少了创伤与感染风险,避免了电极导线及囊袋的相关问题,而且可以做到无疤痕。患者在植入后几乎感觉不到起搏器的存在,这也极大程度避免了患者的焦虑以及可能出现的囊袋相关问题。
二、小体积,长寿命
Micra相较于传统起搏器,Micra体积减小了93%,仅有维生素胶囊大小,重量仅约2g。Micra拥有超强的电池续航能力,可以提供长达12.8年的使用寿命。
三、核磁扫描兼容
可兼容1.5T/3.0T(特斯拉)核磁共振扫描,满足患者更多的临床检查需求
Micra无导线起搏器的植入手术过程时间短,植入成功率高,患者的术后恢复情况也相对传统手术方式快,植入后活动基本不受限,6小时后可以下床活动,为患者提供了比传统起搏器更加优异的治疗体验。




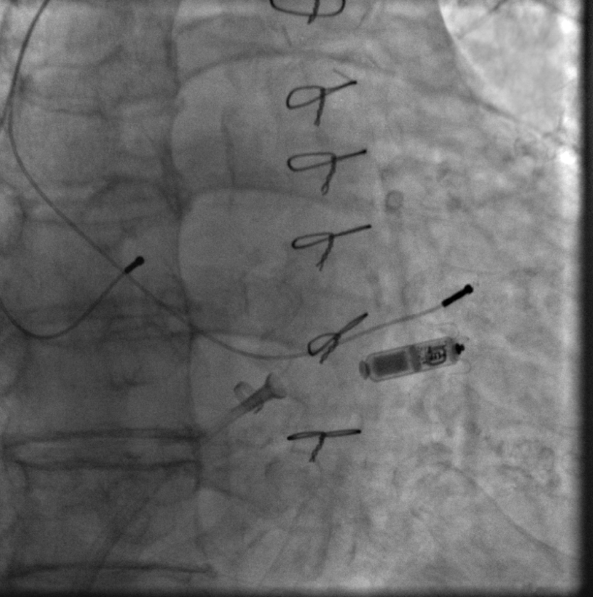
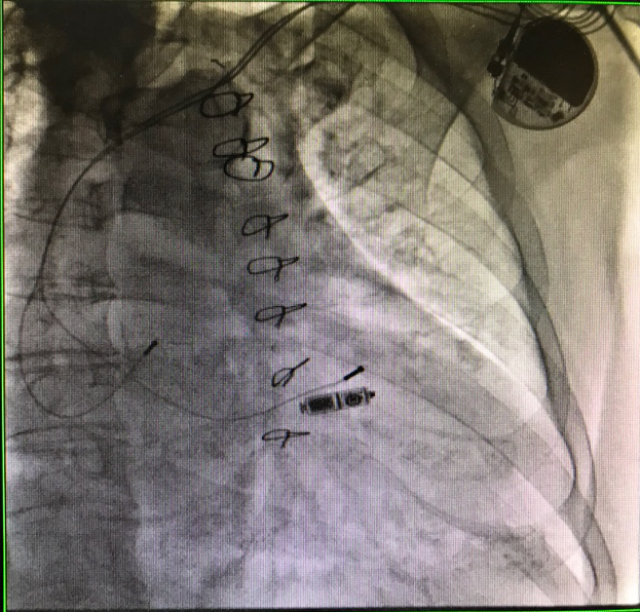
刘元伟、何榕医师在进行中


无导线起搏器及原导线
北京清华长庚医院心律失常诊治中心汇集了国内一批优秀的电生理学者,在张萍教授带领下一直走在学术的前沿,积极探索起搏电生理领域的新理念、新技术。近年来,刘元伟、佘飞、何榕等医师活跃在国内外起搏电生理学术领域,以严谨求实的治学精神、坚实规范的基本功、敏锐开放的学术视角开展了一系列领先工作,已成功开展心房颤动等心律失常的射频消融、心脏再同步化治疗、左室多部位起搏、希浦系统起搏等国际先进技术,获得患者的一致好评及业内专家的认可。同时,开展了系统、精细的术后管理工作,打造了一个全周期、高水平的心律失常管理体系,使广大患者尽早恢复健康、拥有更优质的生活质量!
Copyright © 2014-2016 北京清华长庚医院 All Rights Reserved.
地 址:北京市昌平区立汤路168号 邮 编:102218
网 址:www.btch.edu.cn 电 话:010-56118899 传真:010-56118500
技术支持:信息管理处 京公网安备11011402000212号
友情链接:
京ICP备15031026号-1
京卫计网审【2015】第0072号