清华长庚医院4 月15 日电(心内科 耿雨 王银堂)2021年04月15日上午,北京清华长庚医院心脏内科介入团队在张萍副院长、王伟民教授、吴永健教授、赵俊来教授、崔晓征教授、高志峰教授、佘飞教授、刘芳教授及导管室、监护室的通力合作下,以默契的团队配合、精准的手术操作为一名77岁重度主动脉瓣狭窄伴钙化患者一举解除“心病”,成功完成首例经导管主动脉瓣置换术(TAVR)。

77 岁的男性患者徐某因“劳力性呼吸困难1年余,晕厥2月”就诊于我院心内科并住院接受治疗,入院超声心动图检查发现:主动脉瓣钙化,重度狭窄, 轻度关闭不全,LVEF 50%。诊断为症状性重度主动脉瓣狭窄明确,判断患者符合TAVR 手术指征,无明确手术禁忌症。完善术前CT检查提示(如下图):




佘飞医师及薛亚军医师反复阅读超声及CT评估结果,与张萍教授、王伟民教授、吴永健教授讨论病情后,综合评估结果,决定行TAVR 手术,采用22mm球囊预扩张主动脉瓣,植入26mm Venus-A 瓣膜。通过充分的术前评估与准备,与患者家属反复沟通、告知病情以及相关风险,最终获得家属的手术同意。




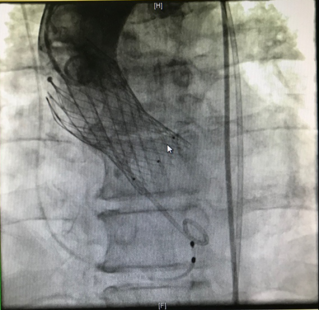
4月15日上午在吴永健教授指导下、心脏内科介入团队密切协作,成功为患者完成经皮主动脉瓣置换术,瓣膜位置良好,无瓣周漏、无跨瓣压差。术后患者血流动力学稳定,呼吸功能良好,达到撤机标准,随后顺利脱机,安全返回监护病房。



心脏是人体最重要的器官之一,就像人体的发动机,负责给全身脏器提供新鲜的血液。心脏里有四组瓣膜,就像是四个单向阀门,控制着血液保持单向循环,维持人体重要的循环供给。主动脉瓣是其中一道非常重要的阀门,它负责控制心脏和身体其他重要器官之间的血供。由于年龄增长、风湿性疾病、先天畸形等因素,主动脉瓣会出现狭窄病变,而主动脉瓣狭窄会对人体产生重要的影响,严重者可有胸痛、晕厥、呼吸困难等表现,乃至猝死。主动脉瓣置换是主动脉瓣狭窄的唯一有效的治疗方式,而主动脉瓣置换术包括传统的外科主动脉瓣置换术和经导管主动脉瓣置换术。外科主动脉瓣置换术是通过开胸手术完成对病变主动脉瓣膜的置换,更适用于年轻患者及外科手术风险相对较低的患者;但它也存在创伤大、需要体外循环和心脏停跳、术后恢复慢等诸多弊端,尤其是不适宜老年、瘦弱、合并症较多及外科手术高危的患者。经导管主动脉瓣置换术(transcatheter aortic valve replacement,TAVR),是指将组装完备的人工主动脉瓣经导管置入到病变的主动脉瓣处,在功能上完成主动脉瓣的置换。TAVR具有创伤小、恢复快、手术时间短、住院时间短、术后疼痛少等诸多优势,可以迅速改善患者生活质量。 我院心脏内科在张萍副院长的领导下,依托高效的多学科诊疗(MDT)机制,联合心脏内科、心脏外科、血管外科、影像科、麻醉科等多学科专业医生共同努力,在中国医学科学院阜外医院吴永健教授的技术指导下,成功完成我院首例TAVR手术,标志着对心脏瓣膜疾病患者的救治水平上一个新台阶,开启了我院心脏瓣膜疾病救治的新篇章。提升心脏瓣膜患者生活质量、改善远期预后,为心脏瓣膜患者的生命健康保驾护航。
Copyright © 2014-2016 北京清华长庚医院 All Rights Reserved.
地 址:北京市昌平区立汤路168号 邮 编:102218
网 址:www.btch.edu.cn 电 话:010-56118899 传真:010-56118500
技术支持:信息管理处 京公网安备11011402000212号
友情链接:
京ICP备15031026号-1
京卫计网审【2015】第0072号