清华长庚医院3月29日电(通讯员 薛亚军)2017年3月28日,北京清华长庚医院心脏内科介入团队在王伟民主任的带领下,采用逆向导丝技术成功开通右冠状动脉的“CTO”病变,术后造影显示右冠脉血流完全恢复,大大改善了患者的预后,降低心血管事件发生率、提高生存率。
什么是“CTO”呢? CTO其实是冠状动脉慢性完全闭塞病变(Chronic Total Occlusion,CTO),即冠状动脉在“粥样硬化”病变的基础上,由于“易损斑块(vulnerable plaques)”的破裂引起血栓形成,同时血栓发生机化、纤维化和钙盐沉积,从而导致冠状动脉血管腔“完全闭塞”,且持续闭塞的时间大于3个月的病变。
今天这位患者为一名70岁的老年女性,在1年前因骨折于外院住院期间突发心绞痛,行冠状动脉造影提示右冠状动脉(Right Coronary Artery,RCA)近端完全闭塞,辗转多家医院行冠状动脉造影并尝试开通冠状动脉均失败,平素给予阿司匹林等药物维持治疗。此后患者反复受心绞痛的折磨,日常生活受到明显限制。1周来胸痛症状加重,患者常常于睡眠中被疼痛憋醒,无奈之下来到我院心脏内科门诊。经过仔细评估后,为了改善患者心绞痛的症状,预防随后可能发生的心肌梗死甚至心脏性猝死等严重并发症,心脏内科介入团队在著名冠脉介入治疗专家王伟民教授指导下,为患者再次行冠状动脉造影,结果显示右冠状动脉完全闭塞,而左侧的回旋支动脉为闭塞的右冠状动脉提供了一支良好的侧支循环,如图1所示。 (A) (B) (C)

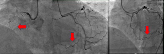
图1 冠状动脉造影。A图, 右冠状动脉走形区域无造影剂充盈,提示血管完全闭塞;B图,左冠状动脉的回旋支为右心室提供侧支循环;C图,左侧冠状动脉提供的侧支循环闭塞的右冠状动脉远端连通。
正常情况下,左右冠状动脉之间的侧支循环(collateral connections,CC)处于功能性关闭状态,在冠状动脉造影时并不显影,仅在冠心病患者有至少1支主要冠状动脉狭窄>75%,方可开放而发挥作用。CTO病变时,侧支血管血流量可以达到正常冠状动脉血流量的50%-80%,从而为闭塞血管供血区域的心肌提供氧和营养。在反复尝试从闭塞的右冠状动脉开口置入导丝失败后,在王伟民教授操刀下,采用逆向导丝技术,沿左回旋支发出的侧支血管逆向(指逆RCA的血流方向)成功到达闭塞的右冠状动脉开口,在左右冠状动脉之间架起一座“鹊桥”,随后的支撑导管从右冠状动脉开口沿逆行导丝顺利进入右冠状动脉,随后球囊扩张植入支架,完美的开通了闭塞的右冠状动脉,恢复右心室心肌血流供应,如图2所示。

图2 逆向导丝技术.A至D,导丝沿左回旋支发出的侧支血管逆向(指逆RCA的血流方向)成功到达闭塞的右冠状动脉开口,随后的支撑导管从右冠状动脉开口沿逆行导丝顺利进入右冠状动脉,接着球囊扩张闭塞血管,并植入支架,完美的开通了闭塞的右冠状动脉,恢复右心室心肌血流供应。
CTO病变迄今是冠状动脉疾病领域研究的重点和难点,更是冠心病介入治疗领域需要攻克的“堡垒”。循征医学数据显示,目前CTO病变介入治疗的平均病变成功率为75.1%(62%~85%),明显低于非CTO病变的介入治疗成功率(>95%以上)。北京清华长庚医院心脏内科在张萍主任领导下,特聘国内顶级冠脉介入治疗专家王伟民教授为首席专家,组建了由缪国斌主任医师及薛亚军主治医师等人为核心的冠心病介入队伍,可熟练开展血管内超声(IVUS)、冠脉血流储备分数(FFR)测定、冠状动脉腔内斑块旋磨等冠心病介入先进诊疗技术,使冠脉分叉、CTO、左主干等疑难病变得到更精准的治疗。同时,医院建立了急性心肌梗死绿色通道,在医院领导和各级部门的大力支持下,大大缩短了Door-to-Balloon(从进医院大门到开通心肌梗死相关血管)的急救时间。
秉承医院为患者提供优质医疗守护的理念,心脏内科将一如既往,不懈努力,提升医疗技术水平,承担起首都人民健康守护者的重任。
Copyright © 2014-2016 北京清华长庚医院 All Rights Reserved.
地 址:北京市昌平区立汤路168号 邮 编:102218
网 址:www.btch.edu.cn 电 话:010-56118899 传真:010-56118500
技术支持:信息管理处 京公网安备11011402000212号
友情链接:
京ICP备15031026号-1
京卫计网审【2015】第0072号