北京清华长庚医院7月23日电(通讯员 薛亚军)在我国传统医学当中,素来有“心脑通病、心脑同治”的理论,随着现代医学的发展,越来越多的研究也发现心血管与脑血管疾病之间存在极大的相关性。因此,“心脑一体化诊治”成为心血管领域的研究热点。本着这样的原则,我院心脏内科和神经内科密切配合,共同完成了一例复杂心脑血管疾病患者的诊治,为“心脑一体化诊治平台”的建设,迈出了关键一步。
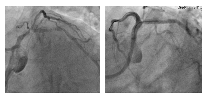
近日,一位68岁的老年男性患者,因“脑梗死后三年,出现头晕,行走不稳”就诊于我院神经内科,行颅脑CTA提示多发颅内大血管狭窄,为进一步诊治收入院。同时该患者有高血压病史20余年,冠心病,劳力型心绞痛病史近10年,虽然平素服用单硝酸异山梨酯、地尔硫卓等药物,但冠心病控制不佳,心绞痛仍时有发作。患者入院后,神经内科张小峰主治医师为该患者完善了全脑动脉造影,提示患者左侧椎动脉开口重度狭窄,这正是引起患者头晕症状的主要原因,但张医师并没有盲目为患者实施介入治疗,而是结合患者病史以及入院后的辅助检查结果,认为该患者可能同时存在脑血管,冠状动脉等多部位粥样硬化斑块及血管狭窄,为了减少患者痛苦,经与心脏内科薛亚军医师会诊共同商讨后,决定由两科介入团队联合完成冠状动脉和脑血管造影检查,一次性完成心脑血管评估,并同步开展脑血管介入诊疗及冠心病介入诊疗。经过充分准备后,2019年6月20日,神经内科张小峰医师带领王也医师及其介入团队通过股动脉途径,首先为患者顺利完成左侧椎动脉起始部位狭窄病变的介入治疗,植入一枚支架,保证了脑灌注(如图1)。随后心脏内科介入团队,在王伟民教授带领下,薛亚军与缪国斌医生通过神经内科已经建立的股动脉通路,为患者顺利完成冠状动脉造影,结果提示患者冠状动脉病变极其严重,医学上称为“左主干+三支冠脉病变”,如果不及时处理,随时有生命风险,王伟民教授果断为患者实施了左主干、前降支及回旋支分叉病变的介入治疗,并植入支架,顺利开通了闭塞的血管(如图2),挽救这位患者岌岌可危的心脏,整个介入手术过程耗时不足2小时,患者清醒,无任何痛苦,术后仅在腹股沟处留有一个约米粒大小的穿刺点,术后6小时就能够坐起并下地活动,真正体现了微创、快速、安全及准确的救治理念。5天后,心脏内科又经桡动脉为其完成右冠脉的介入治疗,彻底解决患者多年来的“心”病,经过两科室的联合精心救治,患者于2019年6月28日康复出院。出院时患者对我院的整个治疗过称给予了高度的评价,并表示了真挚的感谢(图3)。

图1 神经内科对患者左椎动脉介入治疗前后对比(左图术前,右图术后)

图2 心脏内科对患者冠状动脉左主干+前降支+回旋支介入治疗前后对比(左图术前,右图术后)
心脏内科和神经内科作为北京清华长庚医院优先发展的重点科室,紧随医学发展,大胆做出了心脑一体化诊治的探索,这次合作,迈出了我院“心脑一体化诊治平台”扎实的一步。未来我们将继续深化相关学科多个领域合作,共同为京北区域及周边地区患者提供多方位、立体化的服务,更为安全高效的解决心脑血管这一多发疾病,造福于民。

图3 心脏内科与神经内科介入团队部分医生与患者术后合影
Copyright © 2014-2016 北京清华长庚医院 All Rights Reserved.
地 址:北京市昌平区立汤路168号 邮 编:102218
网 址:www.btch.edu.cn 电 话:010-56118899 传真:010-56118500
技术支持:信息管理处 京公网安备11011402000212号
友情链接:
京ICP备15031026号-1
京卫计网审【2015】第0072号