
图为心脏外科崔晓征医师与李永超医师联合为患者手术
北京清华长庚医院12月2日电 (心脏外科 杨栩鹏)粘液瘤是生长在心脏中的肿瘤,最常见于心房内。肿瘤本身是良性的,但因其可能会随时脱落导致脏器栓塞,同时干扰相邻瓣膜的正常开闭造成心脏功能衰竭,被认为是心脏中的“炸弹”。如果不及时摘除,患者随时会有生命危险。
30多岁的患者小温就是这样的一位“心内炸弹携带者”。不久前,他出现了胸前区不适的症状,外院超声提示左房粘液瘤,瘤体长达9cm。瘤体在二尖瓣附近跳动导致二尖瓣功能受到影响,产生胸前区不适。

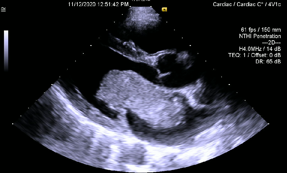
超声心动图显示的巨大肿物,从心房突入心室
北京清华长庚医院心脏外科医师崔晓征接诊,在询问病史的过程中了解到,患者有多年的甲亢病史且从未规律治疗,入院时甲状腺功能检查结果中T3,T4水平,为正常的3倍以上。通过查阅既往病例资料发现,若不适当控制患者的甲状腺激素水平,心血管手术易造成“甲亢危象”,即甲状腺素短时间内大量释放入血,引起甲亢急性加重,通常表现为高热、心率骤然增快,血压急剧升高,严重者出现昏迷、心衰,最终因休克死亡,对患者生命安全产生极大威胁;而常规抗甲状腺治疗,起效较慢,起码需要用药1个月。

罗斌医师(右)与肖建中医师床旁查看患者
所以,小温的心脏不仅携带着一颗“炸弹”,而且这个“炸弹”拥有两套“起爆系统”:一套是定时的,取决于肿瘤脱落的时机;另一套是触发式的,手术便是触发因素。既往的病例资料已提供了心血管术后甲亢危象的一系列抢救措施,但心脏外科团队决定找到最安全的方式,将手术风险降到最低。
由心脏外科主导,普通外科,内分泌科,麻醉科和重症医学科共同参与了多学科讨论,多位专家共同对小温的病情进行详细的评估,最终确立“拆弹方案”,最大可能地保证手术的顺利进行:术前最快地降低小温体内的甲状腺素,同时对其可能出现的甲亢危象做出详尽的预案措施。普外科副主任罗斌和内分泌科主任肖建中联合为小温制订了用药策略,控制甲状腺素的合成与释放,1周后,小温甲状腺素顺利恢复到了正常水平。心脏外科团队立即在崔晓征的带领下对小温进行急诊手术,仅用时3个多小时,便在体外循环下完整拆除了这颗硕大的“炸弹”。1天后小温从ICU回到了普通病房,目前恢复良好。(编辑 于悦超)

切除的肿瘤图片
Copyright © 2014-2016 北京清华长庚医院 All Rights Reserved.
地 址:北京市昌平区立汤路168号 邮 编:102218
网 址:www.btch.edu.cn 电 话:010-56118899 传真:010-56118500
技术支持:信息管理处 京公网安备11011402000212号
友情链接:
京ICP备15031026号-1
京卫计网审【2015】第0072号