2021年8月17日,在副院长张萍教授的带领和王伟民教授的指导下,薛亚军教授、缪国斌教授、白静教授、孔令云教授及导管室、监护室的通力合作下,以默契的团队配合、精准的手术操为一名66岁肥厚型梗阻性心肌病患者一举解除“心病”,成功完成首例经导管室间隔酒精消融术。
肥厚型心肌病(HCM)是比较常见的一种心脏疾病,在我国的发病率约为0.16%,大约25%患者发生左心室的流出道梗阻,即肥厚型梗阻性心肌病(HOCM),其中仅有5%~10%的患者因为症状明显需要介入或外科手术治疗。HOCM的室间隔酒精消融(PTMSA)治疗是通过阻断供应室间隔肥厚梗阻部位的的心肌血供和损伤该区域的心肌,导致该部位的心肌坏死,心肌收缩功能消失,而达到降低流出道梗阻,改善临床症状和血液动力学的目的。

该例患者以心悸、胸闷为主要表现,心电图示心房颤动,超声心动示室间隔及左室壁增厚,以前壁心尖段为著(28mm),左室流出道狭窄,考虑阵发心房颤动、肥厚型梗阻性心肌病诊断明确。患者胸闷症状间断发作,静息状态左室流出道峰值压力阶差91mmHg,且合并阵发性心房颤动,存在室间隔酒精消融适应症。在王伟民教授的指导下,心脏内科团队密切协作,成功为患者完成室间隔酒精消融,术后造影证实消融分支闭塞,床旁心脏超声示室间隔运动明显降低,左室流出道峰值压力阶差降至58mmHg,无急性期并发症。术后患者血流动力学稳定,安全返回监护病房。


图: 薛亚军医师(左))、孔令云医师(右)手术、检查


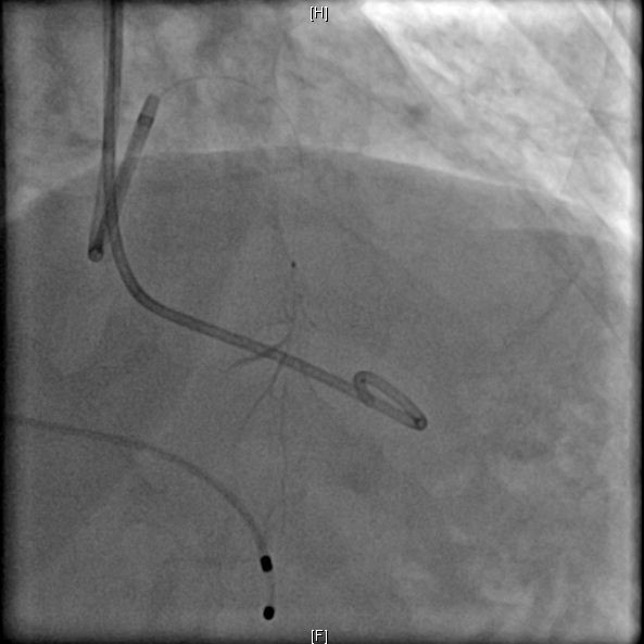
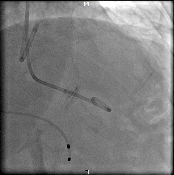
图: 冠状动脉第二间隔支S2粗大(左) 图: 造影示冠状动脉S2闭塞(右)
此病例是我院首次为肥厚型梗阻性心肌病患者完成经导管室间隔酒精消融术,取得了良好的治疗效果。建院六年来,秉承医院为患者提供优质医疗守护的理念,在张萍教授带领下,心脏内科团队不断进取,紧跟新技术发展的前沿,先后领先开展了激光联合旋磨术治疗冠脉复杂慢性病变、全皮下ICD植入术、光感压力导管指引下射频消融术、心腔内超声指引下房颤消融术、左心耳封堵术、希浦系统起搏等技术。心脏内科团队也将一如既往,不懈努力,以严谨拼搏的作风,团结奋进的精神使北京清华长庚医院成为北京地区又一家能够全面开展心血管疾病介入治疗的综合性医院!
(编者 耿雨 薛亚军)
Copyright © 2014-2016 北京清华长庚医院 All Rights Reserved.
地 址:北京市昌平区立汤路168号 邮 编:102218
网 址:www.btch.edu.cn 电 话:010-56118899 传真:010-56118500
技术支持:信息管理处 京公网安备11011402000212号
友情链接:
京ICP备15031026号-1
京卫计网审【2015】第0072号