新闻链接:《昌平报》 08版 专题 健康昌平 幸福家庭
发布时间:2018-04-16
2小时41分钟,你能做些什么?看一场超长的电影,参加一次聚会。而昌平区东小口社区卫生服务中心与清华大学附属北京清华长庚医院联手,利用这不到3个小时的时间,成功功对接、转诊抢救了一例患心肌梗死的社区居民。这都要归功于社区卫生服务中心与三级医院组成的紧密型医联联体。
回顾整个抢救过程,环环相扣,事半功倍。21:35,韩先生因持续胸痛半个小时来到东小口社区服务中心内科就诊,李美香医师接诊后,立即做心电图检查,判断韩先生为广泛急性前壁心肌梗死;21:45,李美香医师通过“医联体微信群”与清华长庚医院心脏內科取得联系,并立即传呼急救中心120,将韩先生转诊到清华长庚医院;22:20,120急救车抵达清华长庚医院急诊,急诊医生复查心电图、査血,再次确定心肌梗死诊断,并与家属交代病情;22:46,经清华长庚医院急救“绿色通道”,心脏内科医生接手,并开始手术;23:02,通过及时手术,冠脉内球囊扩张,恢复患者心脏血流;次日00:16,手术顺利结東,患者送入心脏内科监护病房继续治疗。
对于心肌梗死患者,每一分钟的流失都代表心肌不可逆的坏死,在天通苑这样一个号称亚洲最大的社区里,遇到心梗或者脑梗这样的高发、突发、需要紧急抢救的疾病,如何和“死神”抢时间?清华长庚医院与东小口社区卫生服务中心的默契配合,交出了令人满意的答卷。

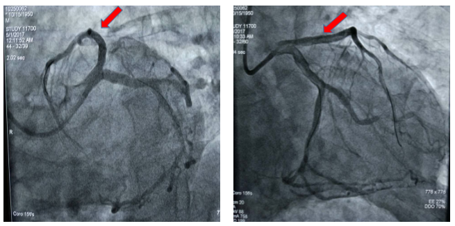
图1 患者术前冠脉造影显示冠脉血管前降支近段100%闭塞

图2 患者术后冠脉造影显示冠脉血管前降支支架治疗后完全开通
社区转诊“绿色通道”
在韩先生的成功抢救案例中,社区医师是第一道守门人,李美香医师接诊后快速、准确地诊断,并安排患者口服阿司匹林300mg、氯叱格雷600mg,这不仅为抢救贏得了第一时间,同时也为上级医院做好了急诊经皮冠状动脉介入治疗(PCI)的术前准备。
通过“医联体微信群”,社区卫生服务中心与三级医院联动起来,实现紧密型医联体的无缝衔接。北京清华长庚医院二线、三线值班医师缪国斌、薛亚军、技师翟彦龙在患者抵达用前,已在各自的岗位做好接诊和手术的准备,这为抢救贏得了第二笔宝贵的时间。
医联体密切合作 探索区域医联体建设新模式
2017年7月18日,昌平区东部医联体暨昌平区东小口社区卫生服务中心—北京清华长庚医院紧密型医联体签约仪式在清华长庚医院举行,昌平区卫生计生委副主任杨杰在会上指出,昌平区根据区域内医疗卫生资源分布状况和发展水平、群众看病就医需求,共建设4个区域医联体。东小口社区卫生服务中心与北京清华长庚医院建立紧密型医联体,通过更加密切的合作,力争探索区域医联体建设的新模式。

图为东小口社区卫生服务中心黄培院长与北京清华长庚医院党委书记周月月红签约建立“紧密型医联体”
为了落实好紧密型医联体的建设,前期双方进行了多次调研和座谈,商讨医联体合作内容、合作方式以及工作方案,细化到双向转诊的对接方式、下派专家的门诊出诊时间、带教培训的计划、信息系统对接等。从合作框架到详细流程,均进行了详细的梳理,为紧密合作奠密定了基础。
“紧密型医联体”正式签约后,双方坚持把三个关键点落到了实处,为“紧密”加紧。
优势医疗资源共享。北京清华长庚医院已建制运营了49个临床医技科室,并形成了肝胆胰中心、神经中心、消化中心、急重症中心等优势突出的整合式医疗中心。东小口社区卫生服务中心结合诊疗需求,通过2个月的沟通协调,2017年10月,试点清华长庚医院的3个科室,分别为全科医学科、内分泌科和眼科,清华长庚医院全科与健康医学部部长王仲在内的5名专家,在东小口社区卫生服务中心出门诊,切实做到专家资源下沉,并实地开展临床指导与教学,与社区卫生服务中心医师形成良好的互动与交流。同时,东小口社区卫生服务中心挂号处可远程预约挂号清华长庚医院专家号,实现医疗资源共享。截止到目前,东小口社区卫生服务中心通过远程 挂号平台共为近百名居民提供挂号服务,紧密型医联体的落地,实现了患者不动,专家动,“在家门口看上大专家”。
信息化联系畅通。为提高上下转诊的效率,减少患者的奔波,紧密型医联体间积极探索信息化连接。清华长庚医院远程医疗中心可与医院的电子病历系统、影像系统(PACS)进行数据交互共享,从而实现会诊信息、检查信息、影像信息等与医院系统的双向沟通。作为紧密型医联体的建设单位,东小口社区卫生服务中心成为了医院首批远程医疗的单位,初步从医学检验诊断、医学影像诊断两个方向上实现线上会诊。
人员交流协作通畅。紧密型医联体的最终目的是通过双方的配合,为老百姓做好医疗服务,无论是社区转诊至三级医院,还是三级医院将符合社区诊疗的病人向下转诊,患者的转诊都涉及到治疗上的衔接,所以双方医务人员的交流与协作是至关重要的。双方线下通过联合义诊、联合查房、病例讨论、现场带教、人员培训班、继续教育课程等多种方式,提供平台,加强人员沟通。值得一提的是,微信作为如今盛行的交友媒介,在紧密型医联体的建设中也发挥了作用,通过微信群的搭建,形成了线上病例交流、转诊的新途径。

北京清华长庚医院APP
快速挂号