北京清华长庚医院3月10日电(供稿/胃肠外科 编辑/于悦超)近日,清华大学附属北京北京清华长庚医院胃肠外科主任李元新与妇产科副主任张蕾联合,通过腹腔镜改良Bacon术式,为一名老年女性患者顺利切除复杂直肠间质瘤,肿瘤距离肛缘3cm,帮助患者实现“超低位保肛”。
患者今年65岁,两年前出现排便、排尿困难,下腹坠胀感,甘肃当地医院发现她患有来自子宫后方、腹膜后间叶组织来源的恶性肿瘤,瘤体位于下位直肠临近肛门,大小约10.2cmx8.6cmx9.3cm。行肠系膜下动脉病灶血管栓塞术后,由于瘤体巨大,当地医院先为患者行靶向药物治疗,以期肿瘤缩小后达到保肛目的。一年后复查肿瘤直径缩小为3.8cm,但仍紧邻肛缘并侵犯阴道,若手术仍需行多器官联合切除,患者将会终生造口患者慕名来到我院李元新门诊就诊。

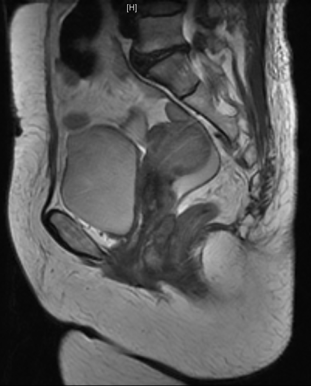
盆腔核磁可见直肠下段前壁增厚,可见不规则肿块形成,位于腹膜反折以下,肠壁较厚处约23mm,阴道后壁受压

阴道后壁与直肠前壁间可见不均质实性肿物,范围约3.8cmx2.9cmx2.3cm,可见较丰富血流信号,近端距阴道口约0.54cm,远端距阴道口约4.22cm
查阅病历后,李元新了解到患者瘤体为胃肠间质瘤,与肠系膜下动脉联系紧密,血供丰富,“若行常规术式,需行子宫、阴道、直肠、肛门联合脏器切除并行永久造口,生活质量会受到很大影响。”李元新说道,“若行微创手术,患者肿瘤为腔外型,未向器官内部扩散,加上先前靶向药物治疗后,直肠内及阴道黏膜表面光滑,没有发现明确肿物,为精准定位肿瘤带来一定难度。”
李元新反复研究资料,在常规CT、磁共振、肠镜等检查基础上,综合阴道超声及超声内镜,明确肿瘤位置仅距肛缘3cm。如此短的距离下,既要切除瘤体又要兼顾保肛并非易事,综合考虑后,李元新团队决定行“经自然腔道取标本完全腹腔镜改良Bacon术”,本手术分两期进行:第一期行腹部手术,在联合妇产科行阴道后壁切除的同时,保留患者肛门,切除瘤体后将结肠经肛门拉出;第二期会阴部手术,于术后1-2周后切除肛门外多余结肠,缝合结肠与肛门,避免肠瘘等术后并发症。

李元新(左二)进行手术
术中,在腹腔镜辅助下,李元新主刀,胃肠外科主治医师孙孝文辅助,小心游离直肠与肿瘤至直肠前壁与阴道后壁融合处。在肛缘上方8cm处,李元新离断直肠上动脉,保留肠壁血管上方血供,确保拖出肛门的结肠段边缘能扪及搏动,避免拖出肠段坏死。

张蕾(右三)进行手术
张蕾上台主刀,仔细沿肿瘤边界,进行阴道后壁局部切除后,缝合剩余的阴道壁,为下一步直肠部分肿瘤切除做准备。
李元新再次上台,谨慎吻合盆腔最低处与肛门平面,剪开降结肠外侧腹膜,游离降结肠及乙状结肠,在距离瘤体上5cm及肿瘤下2cm处切断直肠,并将直肠、瘤体连带已切除的阴道后壁从肛门拖出。确认腹腔内结肠及其系膜的力适中,肠管无扭转,结肠血循环良好后,李元新继续用细可吸收线将拖出的肠壁浆膜和肛管皮肤固定数针,以防结肠回缩。最后,李元新在新位置固定腹腔内结肠,逐层缝合。历时6小时,手术顺利结束。
术后3天,患者可以喝水,术后1周拔除肛管。两周后,李元新团队为患者行会阴部手术,切除多余肠管,间断缝合结肠残端与肛管皮肤。会阴部术后第2天患者恢复普通饮食,拆除结肠肛管吻合处油纱,术后3周顺利出院。

北京清华长庚医院APP
快速挂号