English
网站地图
首页
医院概况
医院简介
办院宗旨
医院特色
组织架构
领导团队
特色诊疗
多学科联合诊疗
专病中心
远程中心
器官移植
国际医疗
卓越病种
科室导航
肝胆胰中心
中心简介
中心动态
健康教育
医师团队
肝胆胰中心各科室简介
肝胆胰外科
肝胆内科
肝胆介入科
肝胆肿瘤科
儿童肝病科
肝脏ICU
肝移植科
肝胆研究实验室
器官移植中心
中心简介
中心动态
健康教育
医师团队
器官移植中心各科室简介
肾移植科
心血管中心
中心简介
中心动态
健康教育
医师团队
心血管中心各科室简介
心血管内科
心脏外科
消化中心
中心简介
中心动态
健康教育
医师团队
妇产中心
中心介绍
中心动态
健康教育
医师团队
妇产中心各科室简介
肿瘤中心
中心简介
中心动态
健康教育
医师团队
肿瘤中心各科室简介
放射治疗科
腹膜肿瘤科
胃肠外科
肿瘤内科
骨科与运动医学中心
中心首页
中心介绍
中心动态
健康教育
医师团队
骨科与运动医学中心
眼科中心
中心首页
中心介绍
中心动态
医师团队
健康教育
耳鼻咽喉头颈外科中心
科室介绍
科室动态
健康教育
医师团队
口腔医学中心
中心介绍
中心动态
健康教育
医师团队
儿童中心
科室概况
科室动态
健康教育
医师介绍
内科部
内分泌与代谢科
感染性疾病科
消化内科
肾脏内科
呼吸与危重症医学科
神经内科
血液内科
风湿免疫科
老年医学科
精神心理科
外科部
普通外科(甲状腺乳腺疝外科)
血管外科
胸腔外科
神经外科
泌尿外科
整形外科
麻醉科
疼痛科
专科部
康复医学科
皮肤科
中医科
急重症部
普通内科
急诊科
重症医学科
呼吸治疗科
医技部
病理科
检验医学科
输血科
超声科
药剂科
临床药学科
临床营养科
放射诊断科
核医学科
全科与健康医学部
全科医学科
健康管理中心
其他
医疗美容科
就医服务
就医指南
预约挂号
出诊信息
医保专栏
价格查询
报告查询
执业医师信息查询
护士信息查询
预约体检
患者满意度
信息动态
图片医院
新闻动态
轮播图片
活动预告
健康宣教
媒体报道
医院影像
新闻专题
院务公开
招标信息
科普视频
医学人文
护理天地
护理简介
护理特色
护理动态
天使风采
教育教学
教育动态
在校教育
住院医培训
继续医学教育
科学研究
科研动态
科研进展与代表性论文
学科带头人
科研平台
社会服务
社服介绍
社服动态
活动预告
慈善项目
志愿服务
人才招聘
联系我们
地理交通
友情链接
院长信箱
党风廉政信箱
医院概况
+
医院简介
办院宗旨
医院特色
组织架构
领导团队
特色诊疗
+
多学科联合诊疗
专病中心
远程中心
器官移植
国际医疗
卓越病种
科室导航
+
肝胆胰中心
器官移植中心
心血管中心
消化中心
妇产中心
肿瘤中心
骨科与运动医学中心
眼科中心
耳鼻咽喉头颈外科中心
口腔医学中心
儿童中心
内科部
外科部
专科部
急重症部
医技部
全科与健康医学部
其他
就医服务
+
就医指南
预约挂号
出诊信息
医保专栏
价格查询
报告查询
执业医师信息查询
护士信息查询
预约体检
患者满意度
信息动态
+
图片医院
新闻动态
轮播图片
活动预告
健康宣教
媒体报道
医院影像
新闻专题
院务公开
招标信息
科普视频
医学人文
护理天地
+
护理简介
护理特色
护理动态
天使风采
教育教学
+
教育动态
在校教育
住院医培训
继续医学教育
科学研究
+
科研动态
科研进展与代表性论文
学科带头人
科研平台
社会服务
+
社服介绍
社服动态
活动预告
慈善项目
志愿服务
人才招聘
联系我们
+
地理交通
友情链接
院长信箱
党风廉政信箱
English
网站地图
信息动态
您现在的位置:
首页
-
信息动态
-
新闻动态
图片医院
新闻动态
轮播图片
活动预告
健康宣教
媒体报道
医院影像
新闻专题
院务公开
招标信息
科普视频
信息动态
新闻动态
北京清华长庚医院临床试验启动全流程信息化管理
2022-03-02
【爱耳日】掏耳朵一时爽 耳痛难忍泪两行
2022-03-02
清华长庚顺利完成2022冬奥新冠核酸检测任务
2022-03-01
【图·说】神经保卫战
2022-02-28
【我的冬奥日记】反兴奋剂:既神秘又艰巨的任务
2022-02-28
【我的冬奥日记】激动的心,颤抖的手
2022-02-24
【我的冬奥日记】我们坚守在“6”号区域
2022-02-24
【我的冬奥日记】有朋,自远方来
2022-02-23
冬奥冰壶“长相守” 一起携手向未来
2022-02-21
【我的冬奥日记】奥运精神让我们团结在五环之下
2022-02-21
我院获市卫健委“好新闻”、“杏林杯”、“春雨榜”活动8项...
2022-02-18
青年力量 · 我院检验科获评“2020-2021年度北京...
2022-02-16
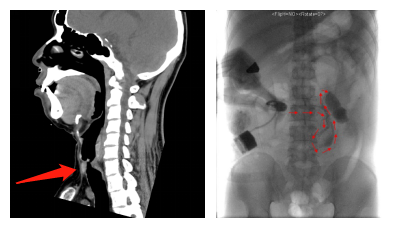
清华长庚多科室协作 围剿迷路气道的汤圆
2022-02-16
幸运的清华长庚人?幸运眷顾的是实力与拼搏!
2022-02-15
【图·说】和病房里的“家人们”一起看春晚
2022-02-11
【我的冬奥日记】孩子,虽然你没能在电视中找到爸爸,但这意...
2022-02-11
首页
上一页
...
71
72
73
74
75
下一页
尾页
1
2
3
4
5
6
7
8
9
10
11
12
13
14
15
16
17
18
19
20
21
22
23
24
25
26
27
28
29
30
31
32
33
34
35
36
37
38
39
40
41
42
43
44
45
46
47
48
49
50
51
52
53
54
55
56
57
58
59
60
61
62
63
64
65
66
67
68
69
70
71
72
73
74
75
76
77
78
79
80
81
82
83
84
85
86
87
88
89
90
91
92
93
94
95
96
97
98
99
100
101
102
103
104
105
106
107
108
109
110
111
112
113
114
115
116
117
118
119
120
121
122
123
124
125
126
127
128
129
130
131
132
133
134
135
136
137
138
139
140
141
142
143
144
145
146
147
148
149
150
151
152
153
154
155
156
157
158
159
160
161
162
163
164
165
166
167
168
169
170
171
172
173
174
175
176
177
178
179
180
181
182
183
184
185
186
187
188
189
190
191
192
193
194
195
196
197
198
199
200
201
202
203
204
205
206
207
208
209
210
211
212
213
214
215
页
上一页
下一页
微信扫一扫
北京清华长庚医院APP
快速挂号
返回顶部